This website uses cookies, which are necessary for the technical operation of the website and are always set. Other cookies, which increase the comfort when using this website, are used for direct advertising or to facilitate interaction with other websites and social networks, are only set with your consent.
Configuration
Technically required
These cookies are necessary for the basic functions of the shop.
"Allow all cookies" cookie
"Decline all cookies" cookie
CSRF token
Cookie preferences
Currency change
Customer-specific caching
FACT-Finder tracking
Individual prices
Selected shop
Session
Comfort functions
These cookies are used to make the shopping experience even more appealing, for example for the recognition of the visitor.
Note
Show the facebook fanpage in the right blod sidebar
Statistics & Tracking
Affiliate program
Conversion and usertracking via Google Tag Manager
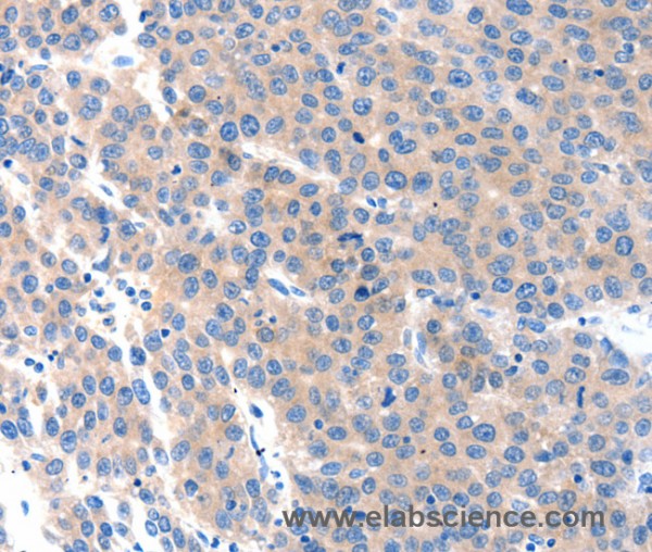
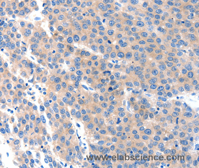
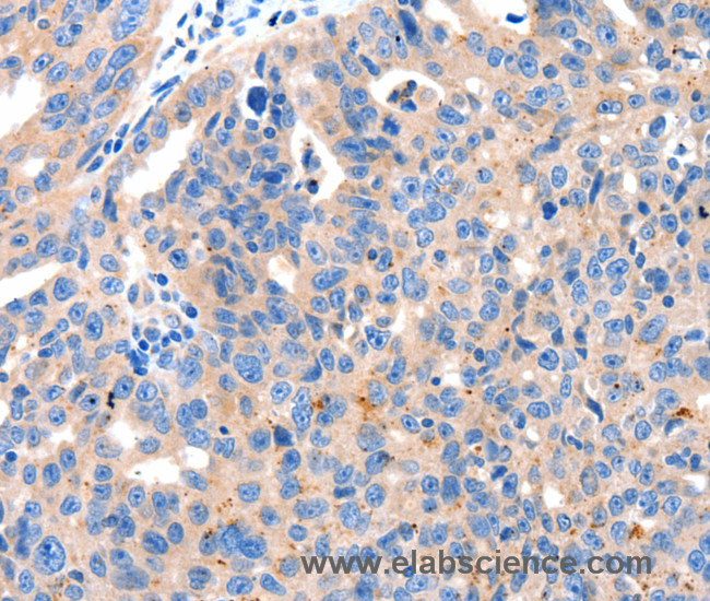
This gene encodes a member of the grandular kallikrein protein family. Kallikreins are a subgroup of serine proteases that are clustered on chromosome 19. Members of this family are involved in a diverse array of biological functions. The protein encoded by this gene is a highly active trypsin-like serine protease that selectively cleaves at arginine residues. This protein is primarily expressed in prostatic tissue and is responsible for cleaving pro-prostate-specific antigen into its enzymatically active form. This gene is highly expressed in prostate tumor cells and may be a prognostic maker for prostate cancer risk. Alternate splicing results in both coding and non-coding transcript variants. Protein function: Glandular kallikreins cleave Met-Lys and Arg-Ser bonds in kininogen to release Lys-bradykinin. [The UniProt Consortium]
This website uses cookies, which are necessary for the technical operation of the website and are always set. Other cookies, which increase the usability of this website, serve for direct advertising or simplify interaction with other websites and social networks, will only be used with your consent.
More information