This website uses cookies, which are necessary for the technical operation of the website and are always set. Other cookies, which increase the comfort when using this website, are used for direct advertising or to facilitate interaction with other websites and social networks, are only set with your consent.
Configuration
Technically required
These cookies are necessary for the basic functions of the shop.
"Allow all cookies" cookie
"Decline all cookies" cookie
CSRF token
Cookie preferences
Currency change
Customer-specific caching
FACT-Finder tracking
Individual prices
Selected shop
Session
Comfort functions
These cookies are used to make the shopping experience even more appealing, for example for the recognition of the visitor.
Note
Show the facebook fanpage in the right blod sidebar
Statistics & Tracking
Affiliate program
Conversion and usertracking via Google Tag Manager
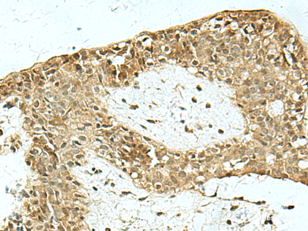
The protein encoded by this gene is part of the multimeric HBO1 complex, which possesses histone H4-specific acetyltransferase activity. This activity is required for functional replication origins and is involved in transcriptional activation of some genes. In both cases, the acetylation of histone H4 helps unfold chromatin so that the DNA can be accessed and replicated or transcribed. Protein function: Component of the HBO1 complex which has a histone H4-specific acetyltransferase activity, a reduced activity toward histone H3 and is responsible for the bulk of histone H4 acetylation in vivo. Involved in H3K14 (histone H3 lysine 14) acetylation and cell proliferation. Through chromatin acetylation it may regulate DNA replication and act as a coactivator of TP53-dependent transcription. Acts as a coactivator of the licensing factor CDT1 (PubMed:18832067). Specifically represses AR-mediated transcription. [The UniProt Consortium]
Keywords:
Anti-HBO1, Anti-KAT7, Anti-MYST-2, Anti-Lysine acetyltransferase 7, Anti-Histone acetyltransferase KAT7, Anti-MOZ, YBF2/SAS3, SAS2 and TIP60 protein 2, Anti-Histone acetyltransferase binding to ORC1, KAT7 Polyclonal Antibody
This website uses cookies, which are necessary for the technical operation of the website and are always set. Other cookies, which increase the usability of this website, serve for direct advertising or simplify interaction with other websites and social networks, will only be used with your consent.
More information