Cookie preferences
This website uses cookies, which are necessary for the technical operation of the website and are always set. Other cookies, which increase the comfort when using this website, are used for direct advertising or to facilitate interaction with other websites and social networks, are only set with your consent.
Configuration
Technically required
These cookies are necessary for the basic functions of the shop.
"Allow all cookies" cookie
"Decline all cookies" cookie
CSRF token
Cookie preferences
Currency change
Customer-specific caching
FACT-Finder tracking
Individual prices
Selected shop
Session
Comfort functions
These cookies are used to make the shopping experience even more appealing, for example for the recognition of the visitor.
Note
Show the facebook fanpage in the right blod sidebar
Statistics & Tracking
Affiliate program
Conversion and usertracking via Google Tag Manager
Track device being used
| Item number | Size | Datasheet | Manual | SDS | Delivery time | Quantity | Price |
|---|---|---|---|---|---|---|---|
| NSJ-F53765-0.08ML | 80 µl | - | - |
3 - 10 business days* |
361.00€
|
If you have any questions, please use our Contact Form.
You can also order by e-mail: info@biomol.com
Larger quantity required? Request bulk
You can also order by e-mail: info@biomol.com
Larger quantity required? Request bulk
In 1X PBS, pH 7.4, with 0.09% sodium azide. Protein kinases are enzymes that transfer a phosphate... more
Product information "Anti-IRAK4"
In 1X PBS, pH 7.4, with 0.09% sodium azide. Protein kinases are enzymes that transfer a phosphate group from a phosphate donor, generally the g phosphate of ATP, onto an acceptor amino acid in a substrate protein. By this basic mechanism, protein kinases mediate most of the signal transduction in eukaryotic cells, regulating cellular metabolism, transcription, cell cycle progression, cytoskeletal rearrangement and cell movement, apoptosis, and differentiation. With more than 500 gene products, the protein kinase family is one of the largest families of proteins in eukaryotes. The family has been classified in 8 major groups based on sequence comparison of their tyrosine (PTK) or serine/threonine (STK) kinase catalytic domains. The tyrosine-like kinase (TLK) group consists of 40 tyrosine and serine-threonine kinases such as MLK (mixed-lineage kinase), LISK (LIMK/TESK), IRAK (interleukin-1 receptor-associated kinase), Raf, RIPK (receptor-interacting protein kinase), and STRK (activin and TGF-beta receptors) families.
| Keywords: | Anti-IRAK4, Anti-Renal carcinoma antigen NY-REN-64, Anti-Interleukin-1 receptor-associated kinase 4, IRAK4 Antibody |
| Supplier: | NSJ Bioreagents |
| Supplier-Nr: | F53765 |
Properties
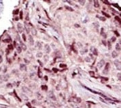
| Application: | WB, IHC, ELISA |
| Antibody Type: | Polyclonal |
| Conjugate: | No |
| Host: | Rabbit |
| Species reactivity: | human |
| Immunogen: | A portion of amino acids 5-36 from the human protein |
| Format: | Purified |
Database Information
| KEGG ID : | K04733 | Matching products |
| UniProt ID : | Q9NWZ3 | Matching products |
| Gene ID : | GeneID 51135 | Matching products |
Handling & Safety
| Storage: | -20°C |
| Shipping: | -20°C (International: -20°C) |
Caution
Our products are for laboratory research use only: Not for administration to humans!
Our products are for laboratory research use only: Not for administration to humans!
Information about the product reference will follow.
more
You will get a certificate here
Viewed