Cookie preferences
This website uses cookies, which are necessary for the technical operation of the website and are always set. Other cookies, which increase the comfort when using this website, are used for direct advertising or to facilitate interaction with other websites and social networks, are only set with your consent.
Configuration
Technically required
These cookies are necessary for the basic functions of the shop.
"Allow all cookies" cookie
"Decline all cookies" cookie
CSRF token
Cookie preferences
Currency change
Customer-specific caching
FACT-Finder tracking
Individual prices
Selected shop
Session
Comfort functions
These cookies are used to make the shopping experience even more appealing, for example for the recognition of the visitor.
Note
Show the facebook fanpage in the right blod sidebar
Statistics & Tracking
Affiliate program
Conversion and usertracking via Google Tag Manager
Track device being used
| Item number | Size | Datasheet | Manual | SDS | Delivery time | Quantity | Price |
|---|---|---|---|---|---|---|---|
| ATA-HPA002656.25 | 25 µl | - |
7 - 10 business days* |
330.00€
|
|||
| ATA-HPA002656.100 | 100 µl | - |
7 - 10 business days* |
463.00€
|
If you have any questions, please use our Contact Form.
You can also order by e-mail: info@biomol.com
Larger quantity required? Request bulk
You can also order by e-mail: info@biomol.com
Larger quantity required? Request bulk
Protein function: Innate immune receptor which acts as a cytoplasmic sensor of viral nucleic... more
Product information "Anti-IFIH1"
Protein function: Innate immune receptor which acts as a cytoplasmic sensor of viral nucleic acids and plays a major role in sensing viral infection and in the activation of a cascade of antiviral responses including the induction of type I interferons and proinflammatory cytokines. Its ligands include mRNA lacking 2'-O-methylation at their 5' cap and long- dsRNA (>1 kb in length). Upon ligand binding it associates with mitochondria antiviral signaling protein (MAVS/IPS1) which activates the IKK-related kinases: TBK1 and IKBKE which phosphorylate interferon regulatory factors: IRF3 and IRF7 which in turn activate transcription of antiviral immunological genes, including interferons (IFNs), IFN- alpha and IFN-beta. Responsible for detecting the Picornaviridae family members such as encephalomyocarditis virus (EMCV) and mengo encephalomyocarditis virus (ENMG). Can also detect other viruses such as dengue virus (DENV), west Nile virus (WNV), and reovirus. Also involved in antiviral signaling in response to viruses containing a dsDNA genome, such as vaccinia virus. Plays an important role in amplifying innate immune signaling through recognition of RNA metabolites that are produced during virus infection by ribonuclease L (RNase L). May play an important role in enhancing natural killer cell function and may be involved in growth inhibition and apoptosis in several tumor cell lines. [The UniProt Consortium] Buffer: 40% glycerol and PBS (pH 7.2). 0.02% sodium azide is added as preservative. Highest antigen sequence identity to mouse: 75% and to rat: 76%
| Keywords: | Anti-MDA5, Anti-MDA-5, Anti-IFIH1, Anti-RLR-2, Anti-Helicard, EC=3.6.4.13, Anti-CADM-140 autoantigen, Anti-RIG-I-like receptor 2, Anti-Helicase with 2 CARD domains, Anti-Murabutide down-regulated protein, Anti-RNA helicase-DEAD box protein 116 |
| Supplier: | Atlas Antibodies |
| Supplier-Nr: | HPA002656 |
Properties
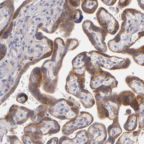
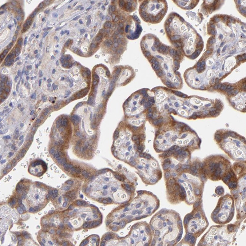
| Application: | IHC, WB |
| Antibody Type: | Polyclonal |
| Conjugate: | No |
| Host: | Rabbit |
| Species reactivity: | human |
| Immunogen: | Recombinant Protein Epitope Signature Tag (PrEST) antigen sequence: TIRMIDAYTH LETFYNEEKD KKFAVIEDDS DEGGDDEYCD GDEDEDDLKK PLKLDETDRF LMTLFFENNK MLKRLAENPE YENEKLTKLR NTIMEQYTRT EESARGIIFT KTRQSAYALS QWITENEKFA EVGVKAHHLI GAGHSSEFKP |
Database Information
| KEGG ID : | K12647 | Matching products |
| UniProt ID : | Q9BYX4 | Matching products |
| Gene ID : | GeneID 64135 | Matching products |
| Protein Atlas Nr. : | ENSG00000115267 |
Handling & Safety
| Storage: | -20°C |
| Shipping: | +20°C (International: +20°C) |
Caution
Our products are for laboratory research use only: Not for administration to humans!
Our products are for laboratory research use only: Not for administration to humans!
Information about the product reference will follow.
more
You will get a certificate here
Viewed