Cookie preferences
This website uses cookies, which are necessary for the technical operation of the website and are always set. Other cookies, which increase the comfort when using this website, are used for direct advertising or to facilitate interaction with other websites and social networks, are only set with your consent.
Configuration
Technically required
These cookies are necessary for the basic functions of the shop.
"Allow all cookies" cookie
"Decline all cookies" cookie
CSRF token
Cookie preferences
Currency change
Customer-specific caching
FACT-Finder tracking
Individual prices
Selected shop
Session
Comfort functions
These cookies are used to make the shopping experience even more appealing, for example for the recognition of the visitor.
Note
Show the facebook fanpage in the right blod sidebar
Statistics & Tracking
Affiliate program
Conversion and usertracking via Google Tag Manager
Track device being used
| Item number | Size | Datasheet | Manual | SDS | Delivery time | Quantity | Price |
|---|---|---|---|---|---|---|---|
| IHC-00173-T | 10 µl (2500 ng) | - |
2 - 8 business days* |
165.00€
|
|||
| IHC-00173 | 100 µl (25 µg) | - |
2 - 8 business days* |
621.00€
|
If you have any questions, please use our Contact Form.
You can also order by e-mail: info@biomol.com
Larger quantity required? Request bulk
You can also order by e-mail: info@biomol.com
Larger quantity required? Request bulk
Protein function: Multifunctional protein with various roles in different cellular compartments.... more
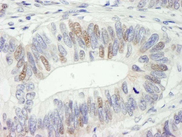
Product information "Anti-HMG2a (IHC)"
Protein function: Multifunctional protein with various roles in different cellular compartments. May act in a redox sensitive manner. Associates with chromatin and binds DNA with a preference to non- canonical DNA structures such as single-stranded DNA. Can bent DNA and enhance DNA flexibility by looping thus providing a mechanism to promote activities on various gene promoters. Proposed to be involved in the innate immune response to nucleic acids by acting as a cytoplasmic promiscuous immunogenic DNA/RNA sensor. Negatively regulates B-cell and myeloid cell differentiation. In hematopoietic stem cells may regulate the balance between self-renewal and differentiation. Involved in negative regulation of canonical Wnt signaling. [The UniProt Consortium]
| Keywords: | Anti-HMG2A, Anti-HMGB3, Anti-HMG-4, Anti-HMG-2a, Anti-High mobility group protein 4, Anti-High mobility group protein B3, Anti-High mobility group protein 2a |
| Supplier: | Bethyl Laboratories |
| Supplier-Nr: | IHC-00173 |
Properties
| Application: | IHC |
| Antibody Type: | Polyclonal |
| Conjugate: | No |
| Host: | Rabbit |
| Species reactivity: | human, mouse (Expected: rat, dog, horse, rabbit, guinea pig, swine, panda, orangutan, rhesus monkey, gorilla, chimpanzee, white-tufted-ear marmoset, crab-eating macaque, european domestic ferret, african elephant, northern white-cheeked gibbon) |
| Immunogen: | synthetic peptide. The epitope recognized by IHC-00173 maps to a region between residues 125 and 175 of human High-Mobility Group 2A using the numbering given in entry NP_005333.2 (GeneID 3149). |
| Format: | Antigen Affinity Purified |
Database Information
| KEGG ID : | K11296 | Matching products |
| UniProt ID : | O15347 | Matching products |
| Gene ID : | GeneID 3149 | Matching products |
Handling & Safety
| Storage: | +4°C |
| Shipping: | +4°C (International: +4°C) |
Caution
Our products are for laboratory research use only: Not for administration to humans!
Our products are for laboratory research use only: Not for administration to humans!
Information about the product reference will follow.
more
You will get a certificate here
Viewed