This website uses cookies, which are necessary for the technical operation of the website and are always set. Other cookies, which increase the comfort when using this website, are used for direct advertising or to facilitate interaction with other websites and social networks, are only set with your consent.
Configuration
Technically required
These cookies are necessary for the basic functions of the shop.
"Allow all cookies" cookie
"Decline all cookies" cookie
CSRF token
Cookie preferences
Currency change
Customer-specific caching
FACT-Finder tracking
Individual prices
Selected shop
Session
Comfort functions
These cookies are used to make the shopping experience even more appealing, for example for the recognition of the visitor.
Note
Show the facebook fanpage in the right blod sidebar
Statistics & Tracking
Affiliate program
Conversion and usertracking via Google Tag Manager
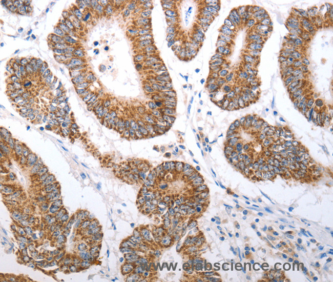
The protein encoded by this gene is a G-protein coupled receptor involved in the regulation of feeding behavior. The encoded protein selectively binds the hypothalamic neuropeptide orexin A. A related gene (HCRTR2) encodes a G-protein coupled receptor that binds orexin A and orexin B. Protein function: Moderately selective excitatory receptor for orexin-A and, with a lower affinity, for orexin-B neuropeptide (PubMed:9491897, PubMed:26950369). Triggers an increase in cytoplasmic Ca(2+) levels in response to orexin-A binding (PubMed:9491897, PubMed:26950369). [The UniProt Consortium]
Keywords:
Anti-Ox1R, Anti-Ox1-R, Anti-HCRTR1, Anti-Ox-1-R, Anti-Orexin receptor type 1, Anti-Hypocretin receptor type 1, HCRTR1 Polyclonal Antibody
This website uses cookies, which are necessary for the technical operation of the website and are always set. Other cookies, which increase the usability of this website, serve for direct advertising or simplify interaction with other websites and social networks, will only be used with your consent.
More information