Cookie preferences
This website uses cookies, which are necessary for the technical operation of the website and are always set. Other cookies, which increase the comfort when using this website, are used for direct advertising or to facilitate interaction with other websites and social networks, are only set with your consent.
Configuration
Technically required
These cookies are necessary for the basic functions of the shop.
"Allow all cookies" cookie
"Decline all cookies" cookie
CSRF token
Cookie preferences
Currency change
Customer-specific caching
FACT-Finder tracking
Individual prices
Selected shop
Session
Comfort functions
These cookies are used to make the shopping experience even more appealing, for example for the recognition of the visitor.
Note
Show the facebook fanpage in the right blod sidebar
Statistics & Tracking
Affiliate program
Conversion and usertracking via Google Tag Manager
Track device being used
If you have any questions, please use our Contact Form.
You can also order by e-mail: info@biomol.com
Larger quantity required? Request bulk
You can also order by e-mail: info@biomol.com
Larger quantity required? Request bulk
Participates in the Wnt signaling pathway. Implicated in the hormonal control of several... more
Product information "Anti-GSK3 beta, clone 4D2"
Participates in the Wnt signaling pathway. Implicated in the hormonal control of several regulatory proteins including glycogen synthase, MYB and the transcription factor JUN. Phosphorylates JUN at sites proximal to its DNA-binding domain, thereby reducing its affinity for DNA. Phosphorylates MUC1 in breast cancer cells, and decreases the interaction of MUC1 with CTNNB1/beta-catenin. Phosphorylates CTNNB1/beta-catenin. Phosphorylates SNAI1. Plays an important role in ERBB2-dependent stabilization of microtubules at the cell cortex. Prevents the phosphorylation of APC and CLASP2, allowing its association with the cell membrane. In turn, membrane-bound APC allows the localization of MACF1 to the cell membrane, which is required for microtubule capture and stabilization. Phosphorylates MACF1 and this phosphorylation inhibits the binding of MACF1 to microtubules which is critical for its role in bulge stem cell migration and skin wound repair. Protein function: Constitutively active protein kinase that acts as a negative regulator in the hormonal control of glucose homeostasis, Wnt signaling and regulation of transcription factors and microtubules, by phosphorylating and inactivating glycogen synthase (GYS1 or GYS2), EIF2B, CTNNB1/beta-catenin, APC, AXIN1, DPYSL2/CRMP2, JUN, NFATC1/NFATC, MAPT/TAU and MACF1 (PubMed:1846781, PubMed:9072970, PubMed:14690523, PubMed:20937854, PubMed:12554650, PubMed:11430833, PubMed:16484495). Requires primed phosphorylation of the majority of its substrates (PubMed:11430833, PubMed:16484495). In skeletal muscle, contributes to insulin regulation of glycogen synthesis by phosphorylating and inhibiting GYS1 activity and hence glycogen synthesis (PubMed:8397507). May also mediate the development of insulin resistance by regulating activation of transcription factors (PubMed:8397507). Regulates protein synthesis by controlling the activity of initiation factor 2B (EIF2BE/EIF2B5) in the same manner as glycogen synthase (PubMed:8397507). In Wnt signaling, GSK3B forms a multimeric complex with APC, AXIN1 and CTNNB1/beta-catenin and phosphorylates the N-terminus of CTNNB1 leading to its degradation mediated by ubiquitin/proteasomes (PubMed:12554650). Phosphorylates JUN at sites proximal to its DNA-binding domain, thereby reducing its affinity for DNA (PubMed:1846781). Phosphorylates NFATC1/NFATC on conserved serine residues promoting NFATC1/NFATC nuclear export, shutting off NFATC1/NFATC gene regulation, and thereby opposing the action of calcineurin (PubMed:9072970). Phosphorylates MAPT/TAU on 'Thr-548', decreasing significantly MAPT/TAU ability to bind and stabilize microtubules (PubMed:14690523). MAPT/TAU is the principal component of neurofibrillary tangles in Alzheimer disease (PubMed:14690523). Plays an important role in ERBB2-dependent stabilization of microtubules at the cell cortex (PubMed:20937854). Phosphorylates MACF1, inhibiting its binding to microtubules which is critical for its role in bulge stem cell migration and skin wound repair. Probably regulates NF-kappa-B (NFKB1) at the transcriptional level and is required for the NF-kappa-B-mediated anti- apoptotic response to TNF-alpha (TNF/TNFA). Negatively regulates replication in pancreatic beta-cells, resulting in apoptosis, loss of beta-cells and diabetes. Through phosphorylation of the anti-apoptotic protein MCL1, may control cell apoptosis in response to growth factors deprivation. Phosphorylates MUC1 in breast cancer cells, decreasing the interaction of MUC1 with CTNNB1/beta-catenin (PubMed:9819408). Is necessary for the establishment of neuronal polarity and axon outgrowth (PubMed:20067585). Phosphorylates MARK2, leading to inhibition of its activity. Phosphorylates SIK1 at 'Thr-182', leading to sustainment of its activity (PubMed:18348280). Phosphorylates ZC3HAV1 which enhances its antiviral activity (PubMed:22514281). Phosphorylates SNAI1, leading to its BTRC-triggered ubiquitination and proteasomal degradation (PubMed:15448698, PubMed:15647282). Phosphorylates SFPQ at 'Thr-687' upon T-cell activation (PubMed:20932480). Phosphorylates NR1D1 st 'Ser-55' and 'Ser-59' and stabilizes it by protecting it from proteasomal degradation. Regulates the circadian clock via phosphorylation of the major clock components including BMAL1, CLOCK and PER2 (PubMed:19946213, PubMed:28903391). Phosphorylates FBXL2 at 'Thr-404' and primes it for ubiquitination by the SCF(FBXO3) complex and proteasomal degradation. Phosphorylates CLOCK AT 'Ser-427' and targets it for proteasomal degradation (PubMed:19946213). Phosphorylates BMAL1 at 'Ser-17' and 'Ser-21' and primes it for ubiquitination and proteasomal degradation (PubMed:28903391). Phosphorylates OGT at 'Ser-3' or 'Ser-4' which positively regulates its activity. Phosphorylates MYCN in neuroblastoma cells which may promote its degradation (PubMed:24391509). Regulates the circadian rhythmicity of hippocampal long-term potentiation and BMAL1 and PER2 expression. Acts as a regulator of autophagy by mediating phosphorylation of KAT5/TIP60 under starvation conditions, activating KAT5/TIP60 acetyltransferase activity and promoting acetylation of key autophagy regulators, such as ULK1 and RUBCNL/Pacer (PubMed:30704899). Negatively regulates extrinsic apoptotic signaling pathway via death domain receptors. Promotes the formation of an anti-apoptotic complex, made of DDX3X, BRIC2 and GSK3B, at death receptors, including TNFRSF10B. The anti-apoptotic function is most effective with weak apoptotic signals and can be overcome by stronger stimulation (PubMed:18846110). Phosphorylates E2F1, promoting the interaction between E2F1 and USP11, stabilizing E2F1 and promoting its activity (PubMed:17050006, PubMed:28992046). Phosphorylates mTORC2 complex component RICTOR at 'Thr-1695' which facilitates FBXW7-mediated ubiquitination and subsequent degradation of RICTOR (PubMed:25897075). Phosphorylates FXR1, promoting FXR1 ubiquitination by the SCF(FBXO4) complex and FXR1 degradation by the proteasome. Phosphorylates interleukin-22 receptor subunit IL22RA1, preventing its proteasomal degradation. [The UniProt Consortium]
| Keywords: | Anti-GSK-3 beta, Anti-Glycogen synthase kinase-3 beta, Anti-Serine/threonine-protein kinase GSK3B, GSK3 beta Monoclonal Antibody |
| Supplier: | Elabscience |
| Supplier-Nr: | E-AB-22221 |
Properties
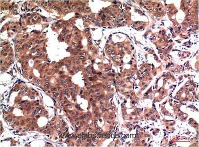
| Application: | WB, IHC (paraffin) |
| Antibody Type: | Monoclonal |
| Clone: | 4D2 |
| Conjugate: | No |
| Host: | Mouse |
| Species reactivity: | human, mouse, rat |
| Immunogen: | Synthetic Peptide of GSK3beta |
| Format: | Purified |
Database Information
| KEGG ID : | K03083 | Matching products |
| UniProt ID : | P49841 | Matching products |
| Gene ID : | GeneID 2932 | Matching products |
Handling & Safety
| Storage: | -20°C |
| Shipping: | -20°C (International: -20°C) |
Caution
Our products are for laboratory research use only: Not for administration to humans!
Our products are for laboratory research use only: Not for administration to humans!
Information about the product reference will follow.
more
You will get a certificate here
Viewed