Cookie preferences
This website uses cookies, which are necessary for the technical operation of the website and are always set. Other cookies, which increase the comfort when using this website, are used for direct advertising or to facilitate interaction with other websites and social networks, are only set with your consent.
Configuration
Technically required
These cookies are necessary for the basic functions of the shop.
"Allow all cookies" cookie
"Decline all cookies" cookie
CSRF token
Cookie preferences
Currency change
Customer-specific caching
FACT-Finder tracking
Individual prices
Selected shop
Session
Comfort functions
These cookies are used to make the shopping experience even more appealing, for example for the recognition of the visitor.
Note
Show the facebook fanpage in the right blod sidebar
Statistics & Tracking
Affiliate program
Conversion and usertracking via Google Tag Manager
Track device being used
| Item number | Size | Datasheet | Manual | SDS | Delivery time | Quantity | Price |
|---|---|---|---|---|---|---|---|
| NSJ-V3989SAF-100UG | 100 µg | - | - |
3 - 10 business days* |
810.00€
|
If you have any questions, please use our Contact Form.
You can also order by e-mail: info@biomol.com
Larger quantity required? Request bulk
You can also order by e-mail: info@biomol.com
Larger quantity required? Request bulk
1 mg/ml in 1X PBS, BSA free, sodium azide free. GATA3 is a zinc finger transcription factor and... more
Product information "Anti-GATA3, clone GATA3/2688"
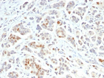
1 mg/ml in 1X PBS, BSA free, sodium azide free. GATA3 is a zinc finger transcription factor and plays an important role in promoting and directing cell proliferation, development, and differentiation in many tissues and cell types. GATA3 expression is primarily seen in breast and urothelial carcinomas. Therefore, GATA3 antibody can be useful in the identification of unknown primary carcinoma when carcinomas of the breast or bladder are a possibility. Protein function: Transcriptional activator which binds to the enhancer of the T-cell receptor alpha and delta genes. Binds to the consensus sequence 5'-AGATAG-3'. Required for the T-helper 2 (Th2) differentiation process following immune and inflammatory responses. [The UniProt Consortium]
| Keywords: | Anti-GATA3, Anti-GATA-binding factor 3, Anti-Trans-acting T-cell-specific transcription factor GATA-3, GATA3 Antibody |
| Supplier: | NSJ Bioreagents |
| Supplier-Nr: | V3989SAF |
Properties
| Application: | IHC (paraffin) |
| Antibody Type: | Monoclonal |
| Clone: | GATA3/2688 |
| Conjugate: | No |
| Host: | Mouse |
| Species reactivity: | human |
| Immunogen: | A portion of amino acids 357-463 from the human protein |
| Format: | Purified |
Database Information
| KEGG ID : | K17895 | Matching products |
| UniProt ID : | P23771 | Matching products |
| Gene ID : | GeneID 2625 | Matching products |
Handling & Safety
| Storage: | +4°C |
| Shipping: | +4°C (International: +4°C) |
Caution
Our products are for laboratory research use only: Not for administration to humans!
Our products are for laboratory research use only: Not for administration to humans!
Information about the product reference will follow.
more
You will get a certificate here
Viewed