Anti-GABA A Receptor gamma2

Item number Size Datasheet Manual SDS Delivery time Quantity Price
ELK-EA289.50 50 µl - -

10 - 14 business days*

173.00€
 
GABA, the major inhibitory neurotransmitter in the vertebrate brain, mediates neuronal inhibition... more
Product information "Anti-GABA A Receptor gamma2"
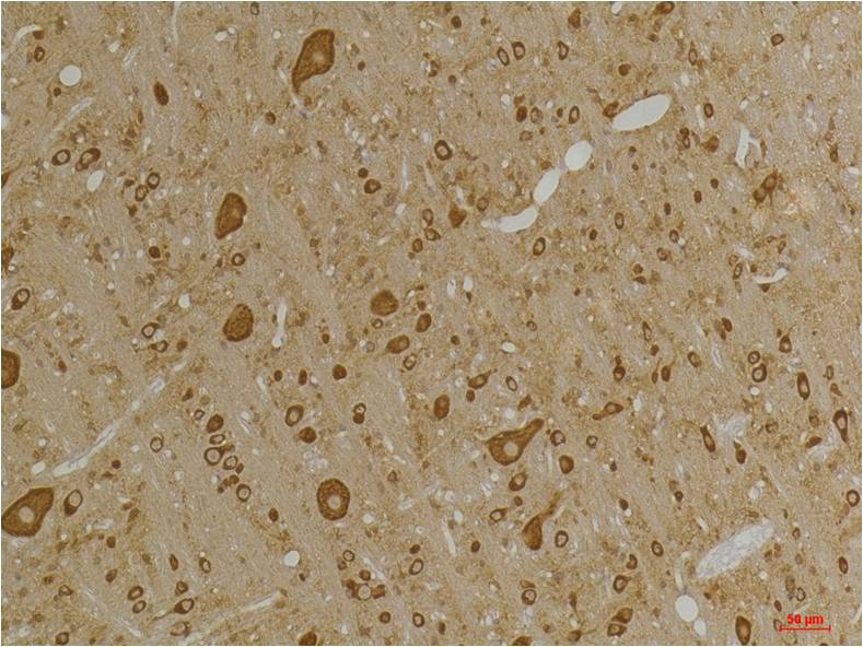
GABA, the major inhibitory neurotransmitter in the vertebrate brain, mediates neuronal inhibition by binding to the GABA/benzodiazepine receptor and opening an integral chloride channel. Protein function: Ligand-gated chloride channel which is a component of the heteropentameric receptor for GABA, the major inhibitory neurotransmitter in the brain (PubMed:2538761, PubMed:29950725). Plays an important role in the formation of functional inhibitory GABAergic synapses in addition to mediating synaptic inhibition as a GABA-gated ion channel (PubMed:23909897, PubMed:25489750, PubMed:27864268). The gamma2 subunit is necessary but not sufficient for a rapid formation of active synaptic contacts and the synaptogenic effect of this subunit is influenced by the type of alpha and beta subunits present in the receptor pentamer. The alpha1/beta2/gamma2 receptor and the alpha1/beta3/gamma2 receptor exhibit synaptogenic activity (PubMed:23909897, PubMed:25489750). The alpha2/beta2/gamma2 receptor exhibits synatogenic activity whereas the alpha2/beta3/gamma2 receptor shows very little or no synaptogenic activity. Functions also as histamine receptor and mediates cellular responses to histamine. [The UniProt Consortium] Recommended dilutions: WB 1:1,000-2,000    IHC 1:100-200. Cellular localization: Cell junction, Cell membrane, Cell projection, Cytoplasmic vesicle, Membrane, Postsynaptic cell membrane, Synapse
Keywords: Anti-GABRG2, Anti-GABA(A) receptor subunit gamma-2, Anti-Gamma-aminobutyric acid receptor subunit gamma-2, GABA A Receptor gamma2 Rabbit pAb
Supplier: ELK Biotechnology
Supplier-Nr: EA289

Properties

Application: WB, IHC
Antibody Type: Polyclonal
Conjugate: No
Host: Rabbit
Species reactivity: human
Immunogen: Synthetic Peptide
MW: 55 kD
Format: Purified

Handling & Safety

Storage: -20°C
Shipping: +4°C (International: +4°C)
Caution
Our products are for laboratory research use only: Not for administration to humans!
Information about the product reference will follow. more
You will get a certificate here
or to request a certificate of analysis.
Read, write and discuss reviews... more
Customer review for "Anti-GABA A Receptor gamma2"
Write a review
or to review a product.
Viewed