Cookie preferences
This website uses cookies, which are necessary for the technical operation of the website and are always set. Other cookies, which increase the comfort when using this website, are used for direct advertising or to facilitate interaction with other websites and social networks, are only set with your consent.
Configuration
Technically required
These cookies are necessary for the basic functions of the shop.
"Allow all cookies" cookie
"Decline all cookies" cookie
CSRF token
Cookie preferences
Currency change
Customer-specific caching
FACT-Finder tracking
Individual prices
Selected shop
Session
Comfort functions
These cookies are used to make the shopping experience even more appealing, for example for the recognition of the visitor.
Note
Show the facebook fanpage in the right blod sidebar
Statistics & Tracking
Affiliate program
Conversion and usertracking via Google Tag Manager
Track device being used
| Item number | Size | Datasheet | Manual | SDS | Delivery time | Quantity | Price |
|---|---|---|---|---|---|---|---|
| REV-31-1176-00-R100 | 100 µl | - | - |
3 - 9 business days* |
541.00€
|
If you have any questions, please use our Contact Form.
You can also order by e-mail: info@biomol.com
Larger quantity required? Request bulk
You can also order by e-mail: info@biomol.com
Larger quantity required? Request bulk
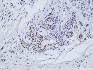
Recombinant Antibody. This antibody reacts to reacts to human ER-alpha (Estrogen receptor).... more
Product information "Anti-ER alpha (human), Rabbit Monoclonal (RM292)"
Recombinant Antibody. This antibody reacts to reacts to human ER-alpha (Estrogen receptor). Applications: WB, IHC. Source: Rabbit. Liquid. 50% Glycerol/PBS with 1% BSA and 0.09% sodium azide. Estrogen Receptors (ER) are members of the steroid/thyroid hormone receptor superfamily of nuclear receptors. The estrogen receptor is a ligand-activated transcription factor, that when bound to estrogen hormone, induces a conformational change that allows dimerization and binding to estrogen response elements (ERE) in DNA. When bound to EREs, ER can positively or negatively regulate gene transcription through the recruitment of coactivator or corepressor proteins. There are two different forms of the estrogen receptor, alpha and beta, encoded by separate genes (ESR1 and ESR2, respectively). Due to alternative RNA splicing, at least 4 Estrogen receptor-alpha (ER-alpha) isoforms are known to exist (Isoform 1 (66 kDa), Isoform 2 (53 kDa), Isoform 3 (47 kDa), Isoform 4 (35 kDa)). Estrogen receptors are widely expressed in different tissue types and are essential for sexual development and reproductive function. They also play a role in other tissues such as bone. Estrogen receptors are involved in pathological processes including breast cancer, endometrial cancer and osteoporosis.
| Keywords: | Estrogen Receptor |
| Supplier: | RevMAb Biosciences |
| Supplier-Nr: | 31-1176-00 |
Properties
| Application: | WB, IHC |
| Antibody Type: | Monoclonal |
| Clone: | RM292 |
| Conjugate: | No |
| Host: | Rabbit |
| Species reactivity: | human |
| Format: | Purified |
Database Information
| KEGG ID : | K08550 | Matching products |
| UniProt ID : | P03372 | Matching products |
| Gene ID : | GeneID 2099 | Matching products |
Handling & Safety
| Storage: | -20°C |
| Shipping: | +4°C (International: +4°C) |
Caution
Our products are for laboratory research use only: Not for administration to humans!
Our products are for laboratory research use only: Not for administration to humans!
Information about the product reference will follow.
more
You will get a certificate here
Viewed