This website uses cookies, which are necessary for the technical operation of the website and are always set. Other cookies, which increase the comfort when using this website, are used for direct advertising or to facilitate interaction with other websites and social networks, are only set with your consent.
Configuration
Technically required
These cookies are necessary for the basic functions of the shop.
"Allow all cookies" cookie
"Decline all cookies" cookie
CSRF token
Cookie preferences
Currency change
Customer-specific caching
FACT-Finder tracking
Individual prices
Selected shop
Session
Comfort functions
These cookies are used to make the shopping experience even more appealing, for example for the recognition of the visitor.
Note
Show the facebook fanpage in the right blod sidebar
Statistics & Tracking
Affiliate program
Conversion and usertracking via Google Tag Manager
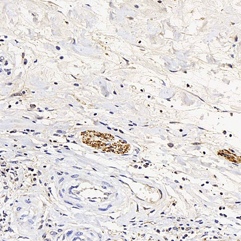
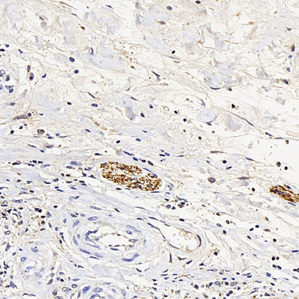
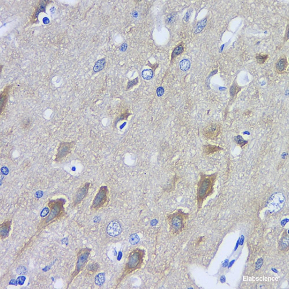
Enolases are cytoplasmic glycolytic enzymes that may be involved in differentiation. Three enolase isoenzymes,alpha,beta and gamma ,phaare present in mammalian cells. The alpha form is expressed in most tissues,whereas the beta form is expressed in muscle tissue. The gamma enolase (ENO2),a homodimer,is found in mature neurons and cells of neuronal origin. A switch from alpha enolase to gamma enolase occurs inneural tissue during development. Protein function: Has neurotrophic and neuroprotective properties on a broad spectrum of central nervous system (CNS) neurons. Binds, in a calcium-dependent manner, to cultured neocortical neurons and promotes cell survival. [The UniProt Consortium]
This website uses cookies, which are necessary for the technical operation of the website and are always set. Other cookies, which increase the usability of this website, serve for direct advertising or simplify interaction with other websites and social networks, will only be used with your consent.
More information