Anti-EIF4G3

Item number Size Datasheet Manual SDS Delivery time Quantity Price
ABS-KC-3961.50 50 µl - -

Request delivery time estimate

206.00€
ABS-KC-3961.100 100 µl - -

Request delivery time estimate

295.00€
 
Protein function: Probable component of the protein complex eIF4F, which is involved in the... more
Product information "Anti-EIF4G3"
Protein function: Probable component of the protein complex eIF4F, which is involved in the recognition of the mRNA cap, ATP-dependent unwinding of 5'-terminal secondary structure and recruitment of mRNA to the ribosome. Thought to be a functional homolog of EIF4G1. [The UniProt Consortium]
Keywords: Anti-Eukaryotic translation initiation factor 4 gamma 3, Anti-eIF-4-gamma 3, Anti-eIF-4G 3, Anti-eIF4G 3, Anti-eIF-4-gamma II, Anti-eIF4GII, EIF4G3 Antibody
Supplier: Absea
Supplier-Nr: KC-3961

Properties

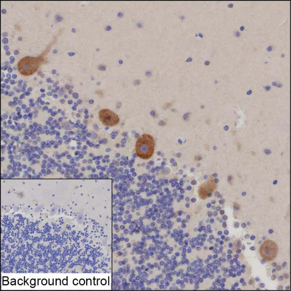
Application: IHC
Antibody Type: Monoclonal
Clone: 2F9
Conjugate: No
Host: Mouse
Species reactivity: human
Immunogen: Recombinant human EIF4G3
Format: Solution

Handling & Safety

Storage: -20°C (avoid repeat freezing and thawing cycles)
Shipping: +4°C (International: +4°C)
Caution
Our products are for laboratory research use only: Not for administration to humans!
Information about the product reference will follow. more
You will get a certificate here
or to request a certificate of analysis.
Read, write and discuss reviews... more
Customer review for "Anti-EIF4G3"
Write a review
or to review a product.
Viewed