Cookie preferences
This website uses cookies, which are necessary for the technical operation of the website and are always set. Other cookies, which increase the comfort when using this website, are used for direct advertising or to facilitate interaction with other websites and social networks, are only set with your consent.
Configuration
Technically required
These cookies are necessary for the basic functions of the shop.
"Allow all cookies" cookie
"Decline all cookies" cookie
CSRF token
Cookie preferences
Currency change
Customer-specific caching
FACT-Finder tracking
Individual prices
Selected shop
Session
Comfort functions
These cookies are used to make the shopping experience even more appealing, for example for the recognition of the visitor.
Note
Show the facebook fanpage in the right blod sidebar
Statistics & Tracking
Affiliate program
Conversion and usertracking via Google Tag Manager
Track device being used
| Item number | Size | Datasheet | Manual | SDS | Delivery time | Quantity | Price |
|---|---|---|---|---|---|---|---|
| NSJ-RQ5515 | 100 µg | - | - |
3 - 10 business days* |
790.00€
|
If you have any questions, please use our Contact Form.
You can also order by e-mail: info@biomol.com
Larger quantity required? Request bulk
You can also order by e-mail: info@biomol.com
Larger quantity required? Request bulk
0.5mg/ml if reconstituted with 0.2ml sterile DI water. Eukaryotic translation initiation factor 4... more
Product information "Anti-EIF4G1"
0.5mg/ml if reconstituted with 0.2ml sterile DI water. Eukaryotic translation initiation factor 4 gamma 1 is a protein that in humans is encoded by the EIF4G1 gene. It is mapped to 3q27.1. The protein encoded by this gene is a component of the multi-subunit protein complex EIF4F. This complex facilitates the recruitment of mRNA to the ribosome, which is a rate-limiting step during the initiation phase of protein synthesis. The recognition of the mRNA cap and the ATP-dependent unwinding of 5'-terminal secondary structure is catalyzed by factors in this complex. The subunit encoded by this gene is a large scaffolding protein that contains binding sites for other members of the EIF4F complex. A domain at its N-terminus can also interact with the poly(A)-binding protein, which may mediate the circularization of mRNA during translation. Alternative splicing results in multiple transcript variants, some of which are derived from alternative promoter usage. Protein function: Component of the protein complex eIF4F, which is involved in the recognition of the mRNA cap, ATP-dependent unwinding of 5'-terminal secondary structure and recruitment of mRNA to the ribosome (PubMed:29987188). Exists in two complexes, either with EIF1 or with EIF4E (mutually exclusive) (PubMed:29987188). Together with EIF1, is required for leaky scanning, in particular for avoiding cap-proximal start codon (PubMed:29987188). Together with EIF4E, antagonizes the scanning promoted by EIF1-EIF4G1 and locates the start codon (through a TISU element) without scanning (PubMed:29987188). As a member of the eIF4F complex, required for endoplasmic reticulum stress-induced ATF4 mRNA translation (PubMed:29062139). [The UniProt Consortium]
| Keywords: | Anti-p220, Anti-EIF4F, Anti-EIF4G1, Anti-eIF-4G1, Anti-eIF-4G 1, Anti-eIF-4-gamma 1, Anti-Eukaryotic translation initiation factor 4 gamma 1, EIF4G1 Antibody |
| Supplier: | NSJ Bioreagents |
| Supplier-Nr: | RQ5515 |
Properties
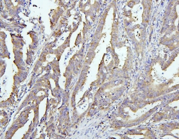
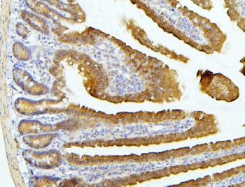
| Application: | WB, IHC (paraffin), IF, FC, Direct ELISA |
| Antibody Type: | Polyclonal |
| Conjugate: | No |
| Host: | Rabbit |
| Species reactivity: | human, mouse, rat |
| Immunogen: | Human recombinant proteins (amino acids Q497-R681 + E1409-L1515) |
| Format: | Purified |
Database Information
| KEGG ID : | K03260 | Matching products |
| UniProt ID : | Q04637 | Matching products |
| Gene ID : | GeneID 1981 | Matching products |
Handling & Safety
| Storage: | +4°C |
| Shipping: | +4°C (International: +4°C) |
Caution
Our products are for laboratory research use only: Not for administration to humans!
Our products are for laboratory research use only: Not for administration to humans!
Information about the product reference will follow.
more
You will get a certificate here
Viewed