Cookie preferences
This website uses cookies, which are necessary for the technical operation of the website and are always set. Other cookies, which increase the comfort when using this website, are used for direct advertising or to facilitate interaction with other websites and social networks, are only set with your consent.
Configuration
Technically required
These cookies are necessary for the basic functions of the shop.
"Allow all cookies" cookie
"Decline all cookies" cookie
CSRF token
Cookie preferences
Currency change
Customer-specific caching
FACT-Finder tracking
Individual prices
Selected shop
Session
Comfort functions
These cookies are used to make the shopping experience even more appealing, for example for the recognition of the visitor.
Note
Show the facebook fanpage in the right blod sidebar
Statistics & Tracking
Affiliate program
Conversion and usertracking via Google Tag Manager
Track device being used
| Item number | Size | Datasheet | Manual | SDS | Delivery time | Quantity | Price |
|---|---|---|---|---|---|---|---|
| IHC-00615-T | 10 µl (2500 ng) | - |
2 - 8 business days* |
165.00€
|
|||
| IHC-00615 | 100 µl (25 µg) | - |
2 - 8 business days* |
621.00€
|
If you have any questions, please use our Contact Form.
You can also order by e-mail: info@biomol.com
Larger quantity required? Request bulk
You can also order by e-mail: info@biomol.com
Larger quantity required? Request bulk
Protein function: eIF-2 functions in the early steps of protein synthesis by forming a ternary... more
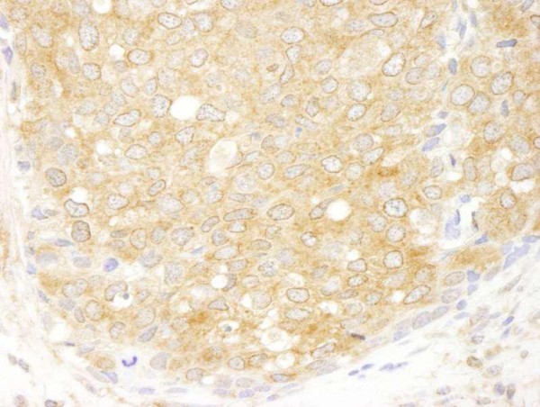
Product information "Anti-eIF2beta/EIF2S2 (IHC)"
Protein function: eIF-2 functions in the early steps of protein synthesis by forming a ternary complex with GTP and initiator tRNA. This complex binds to a 40S ribosomal subunit, followed by mRNA binding to form a 43S preinitiation complex. Junction of the 60S ribosomal subunit to form the 80S initiation complex is preceded by hydrolysis of the GTP bound to eIF-2 and release of an eIF-2-GDP binary complex. In order for eIF-2 to recycle and catalyze another round of initiation, the GDP bound to eIF-2 must exchange with GTP by way of a reaction catalyzed by eIF-2B. [The UniProt Consortium]
| Keywords: | Anti-EIF2B, Anti-EIF2S2, Anti-eIF-2-beta, Anti-Eukaryotic translation initiation factor 2 subunit 2, Anti-Eukaryotic translation initiation factor 2 subunit beta |
| Supplier: | Bethyl Laboratories |
| Supplier-Nr: | IHC-00615 |
Properties
| Application: | IHC |
| Antibody Type: | Polyclonal |
| Conjugate: | No |
| Host: | Rabbit |
| Species reactivity: | human, mouse (Expected: rat, zebrafish, X. laevis, X. tropicalis, chicken, turkey, dog, horse, rabbit, guinea pig, swine, panda, orangutan, rhesus monkey, gorilla, chimpanzee, west indian ocean coelacanth, rainbow trout) |
| Immunogen: | The epitope recognized by IHC-00615 maps to a region between residue 283 and 333 of human eukaryotic translation initiation factor 2, subunit 2 beta, 38kDa using the numbering given in entry NP_003899.2 (GeneID 8894). |
| Format: | Antigen Affinity Purified |
Database Information
| KEGG ID : | K03238 | Matching products |
| UniProt ID : | P20042 | Matching products |
| Gene ID : | GeneID 8894 | Matching products |
Handling & Safety
| Storage: | +4°C |
| Shipping: | +4°C (International: +4°C) |
Caution
Our products are for laboratory research use only: Not for administration to humans!
Our products are for laboratory research use only: Not for administration to humans!
Information about the product reference will follow.
more
You will get a certificate here
Viewed