Cookie preferences
This website uses cookies, which are necessary for the technical operation of the website and are always set. Other cookies, which increase the comfort when using this website, are used for direct advertising or to facilitate interaction with other websites and social networks, are only set with your consent.
Configuration
Technically required
These cookies are necessary for the basic functions of the shop.
"Allow all cookies" cookie
"Decline all cookies" cookie
CSRF token
Cookie preferences
Currency change
Customer-specific caching
FACT-Finder tracking
Individual prices
Selected shop
Session
Comfort functions
These cookies are used to make the shopping experience even more appealing, for example for the recognition of the visitor.
Note
Show the facebook fanpage in the right blod sidebar
Statistics & Tracking
Affiliate program
Conversion and usertracking via Google Tag Manager
Track device being used
| Item number | Size | Datasheet | Manual | SDS | Delivery time | Quantity | Price |
|---|---|---|---|---|---|---|---|
| NSJ-R31878 | 100 µg | - | - |
3 - 10 business days* |
790.00€
|
If you have any questions, please use our Contact Form.
You can also order by e-mail: info@biomol.com
Larger quantity required? Request bulk
You can also order by e-mail: info@biomol.com
Larger quantity required? Request bulk
0.5mg/ml if reconstituted with 0.2ml sterile DI water. Cystatin B (CSTB), also called STFB, is a... more
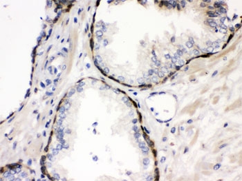
Product information "Anti-Cystatin B / CSTB / Stefin B"
0.5mg/ml if reconstituted with 0.2ml sterile DI water. Cystatin B (CSTB), also called STFB, is a small protein that is a member of the superfamily of cysteine protease inhibitors. It has been isolated from human spleen and liver and its amino acid sequence has been fully determined. The cystatin B gene is located on 21q22.3. It is widely distributed and is localized mostly intracellularly, but has been found extracellularly. The protein is able to form a dimer stabilized by noncovalent forces, inhibiting papain and cathepsins l, h and b. Its role is thought to be as a protector against the proteinases leaking from lysosomes. A cystatin B multiprotein complex might have a specific cerebellar function, and that the loss of this function might contribute to the etiopathogenesis of EPM1. Upon differentiation to myotubes, CSTB becomes excluded from the nucleus and lysosomes, suggesting that the subcellular distribution of CSTB is dependent on the differentiation status of the cell. Protein function: This is an intracellular thiol proteinase inhibitor. Tightly binding reversible inhibitor of cathepsins L, H and B. [The UniProt Consortium]
| Keywords: | Anti-CSTB, Anti-CST6, Anti-CPI-B, Anti-Stefin-B, Anti-Cystatin-B, Anti-Liver thiol proteinase inhibitor, Cystatin B Antibody / CSTB / Stefin B |
| Supplier: | NSJ Bioreagents |
| Supplier-Nr: | R31878 |
Properties
| Application: | WB, IHC (paraffin), IF, FC, ELISA |
| Antibody Type: | Polyclonal |
| Conjugate: | No |
| Host: | Rabbit |
| Species reactivity: | human |
| Immunogen: | Amino acids 1-98 of human CSTB |
| Format: | Purified |
Database Information
| KEGG ID : | K13907 | Matching products |
| UniProt ID : | P04080 | Matching products |
| Gene ID : | GeneID 1476 | Matching products |
Handling & Safety
| Storage: | +4°C |
| Shipping: | +4°C (International: +4°C) |
Caution
Our products are for laboratory research use only: Not for administration to humans!
Our products are for laboratory research use only: Not for administration to humans!
Information about the product reference will follow.
more
You will get a certificate here
Viewed