Cookie preferences
This website uses cookies, which are necessary for the technical operation of the website and are always set. Other cookies, which increase the comfort when using this website, are used for direct advertising or to facilitate interaction with other websites and social networks, are only set with your consent.
Configuration
Technically required
These cookies are necessary for the basic functions of the shop.
"Allow all cookies" cookie
"Decline all cookies" cookie
CSRF token
Cookie preferences
Currency change
Customer-specific caching
FACT-Finder tracking
Individual prices
Selected shop
Session
Comfort functions
These cookies are used to make the shopping experience even more appealing, for example for the recognition of the visitor.
Note
Show the facebook fanpage in the right blod sidebar
Statistics & Tracking
Affiliate program
Conversion and usertracking via Google Tag Manager
Track device being used
| Item number | Size | Datasheet | Manual | SDS | Delivery time | Quantity | Price |
|---|---|---|---|---|---|---|---|
| NSJ-R32253 | 100 µg | - | - |
3 - 10 business days* |
790.00€
|
If you have any questions, please use our Contact Form.
You can also order by e-mail: info@biomol.com
Larger quantity required? Request bulk
You can also order by e-mail: info@biomol.com
Larger quantity required? Request bulk
0.5mg/ml if reconstituted with 0.2ml sterile DI water. Cytochrome P450 1B1 is an enzyme that in... more
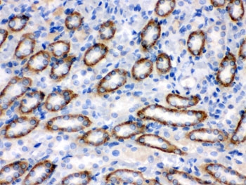
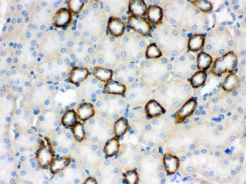
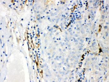
Product information "Anti-CYP1B1"
0.5mg/ml if reconstituted with 0.2ml sterile DI water. Cytochrome P450 1B1 is an enzyme that in humans is encoded by the CYP1B1 gene. CYP1B1 belongs to the the cytochrome P450 superfamily of enzymes. The cytochrome P450 proteins are monooxygenases which catalyze many reactions involved in drug metabolism and synthesis of cholesterol, steroids and other lipids. The enzyme encoded by this gene localizes to the endoplasmic reticulum and metabolizes procarcinogens such as polycyclic aromatic hydrocarbons and 17beta-estradiol. Mutations in this gene have been associated with primary congenital glaucoma, therefore it is thought that the enzyme also metabolizes a signaling molecule involved in eye development, possibly a steroid. Protein function: A cytochrome P450 monooxygenase involved in the metabolism of various endogenous substrates, including fatty acids, steroid hormones and vitamins (PubMed:20972997, PubMed:11555828, PubMed:12865317, PubMed:10681376, PubMed:15258110). Mechanistically, uses molecular oxygen inserting one oxygen atom into a substrate, and reducing the second into a water molecule, with two electrons provided by NADPH via cytochrome P450 reductase (NADPH--hemoprotein reductase) (PubMed:20972997, PubMed:11555828, PubMed:12865317, PubMed:10681376, PubMed:15258110). Exhibits catalytic activity for the formation of hydroxyestrogens from estrone (E1) and 17beta-estradiol (E2), namely 2- and 4-hydroxy E1 and E2. Displays a predominant hydroxylase activity toward E2 at the C-4 position (PubMed:11555828, PubMed:12865317). Metabolizes testosterone and progesterone to B or D ring hydroxylated metabolites (PubMed:10426814). May act as a major enzyme for all-trans retinoic acid biosynthesis in extrahepatic tissues. Catalyzes two successive oxidative transformation of all-trans retinol to all-trans retinal and then to the active form all-trans retinoic acid (PubMed:10681376, PubMed:15258110). Catalyzes the epoxidation of double bonds of certain PUFA. Converts arachidonic acid toward epoxyeicosatrienoic acid (EpETrE) regioisomers, 8,9-, 11,12-, and 14,15- EpETrE, that function as lipid mediators in the vascular system (PubMed:20972997). Additionally, displays dehydratase activity toward oxygenated eicosanoids hydroperoxyeicosatetraenoates (HpETEs). This activity is independent of cytochrome P450 reductase, NADPH, and O2 (PubMed:21068195). Also involved in the oxidative metabolism of xenobiotics, particularly converting polycyclic aromatic hydrocarbons and heterocyclic aryl amines procarcinogens to DNA-damaging products (PubMed:10426814). Plays an important role in retinal vascular development. Under hyperoxic O2 conditions, promotes retinal angiogenesis and capillary morphogenesis, likely by metabolizing the oxygenated products generated during the oxidative stress. Also, contributes to oxidative homeostasis and ultrastructural organization and function of trabecular meshwork tissue through modulation of POSTN expression. [The UniProt Consortium]
| Keywords: | Anti-CYPIB1, Anti-Cytochrome P450 1B1, Anti-Hydroperoxy icosatetraenoate dehydratase, CYP1B1 Antibody |
| Supplier: | NSJ Bioreagents |
| Supplier-Nr: | R32253 |
Properties
| Application: | WB, IHC (paraffin), FC |
| Antibody Type: | Polyclonal |
| Conjugate: | No |
| Host: | Rabbit |
| Species reactivity: | human, mouse, rat |
| Immunogen: | Amino acids 255-480 of human CYP1B1 |
| Format: | Metabolism |
Database Information
| KEGG ID : | K07410 | Matching products |
| UniProt ID : | Q16678 | Matching products |
| Gene ID : | GeneID 1545 | Matching products |
Handling & Safety
| Storage: | +4°C |
| Shipping: | +4°C (International: +4°C) |
Caution
Our products are for laboratory research use only: Not for administration to humans!
Our products are for laboratory research use only: Not for administration to humans!
Information about the product reference will follow.
more
You will get a certificate here
Viewed