Cookie preferences
This website uses cookies, which are necessary for the technical operation of the website and are always set. Other cookies, which increase the comfort when using this website, are used for direct advertising or to facilitate interaction with other websites and social networks, are only set with your consent.
Configuration
Technically required
These cookies are necessary for the basic functions of the shop.
"Allow all cookies" cookie
"Decline all cookies" cookie
CSRF token
Cookie preferences
Currency change
Customer-specific caching
FACT-Finder tracking
Individual prices
Selected shop
Session
Comfort functions
These cookies are used to make the shopping experience even more appealing, for example for the recognition of the visitor.
Note
Show the facebook fanpage in the right blod sidebar
Statistics & Tracking
Affiliate program
Conversion and usertracking via Google Tag Manager
Track device being used
| Item number | Size | Datasheet | Manual | SDS | Delivery time | Quantity | Price |
|---|---|---|---|---|---|---|---|
| NSJ-RQ5582 | 100 µg | - | - |
3 - 10 business days* |
790.00€
|
If you have any questions, please use our Contact Form.
You can also order by e-mail: info@biomol.com
Larger quantity required? Request bulk
You can also order by e-mail: info@biomol.com
Larger quantity required? Request bulk
0.5mg/ml if reconstituted with 0.2ml sterile DI water. CETP (Cholesteryl Ester Transfer Protein... more
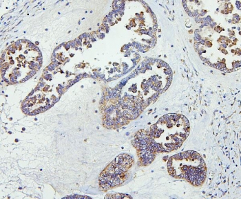
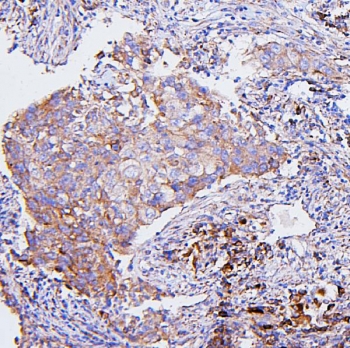
Product information "Anti-CETP"
0.5mg/ml if reconstituted with 0.2ml sterile DI water. CETP (Cholesteryl Ester Transfer Protein Plasma), is a plasma protein that facilitates the transport of cholesteryl esters and triglycerides between the lipoproteins. CETP is also known as lipid transfer protein I (Day et al., 1994). Sparkes et al. (1987) used a CETP probe against DNA from a human/mouse somatic cell hybrid panel to assign the CETP gene to chromosome 16. Because the role of CETP in atherosclerosis remained unclear, Okamoto et al. (2000) attempted to develop a potent, specific CETP inhibitor. One inhibitor, JTT-705, forms a disulfide bond with CETP and increases high density lipoprotein (HDL) cholesterol, decreases non-HDL cholesterol, and inhibits the progression of atherosclerosis in rabbits. Protein function: Involved in the transfer of neutral lipids, including cholesteryl ester and triglyceride, among lipoprotein particles. Allows the net movement of cholesteryl ester from high density lipoproteins/HDL to triglyceride-rich very low density lipoproteins/VLDL, and the equimolar transport of triglyceride from VLDL to HDL (PubMed:3600759, PubMed:24293641, PubMed:3281933). Regulates the reverse cholesterol transport, by which excess cholesterol is removed from peripheral tissues and returned to the liver for elimination (PubMed:17237796). [The UniProt Consortium]
| Keywords: | Anti-Lipid transfer protein I, Anti-Cholesteryl ester transfer protein, CETP Antibody |
| Supplier: | NSJ Bioreagents |
| Supplier-Nr: | RQ5582 |
Properties
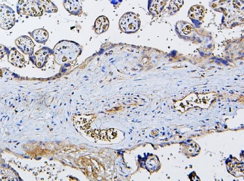
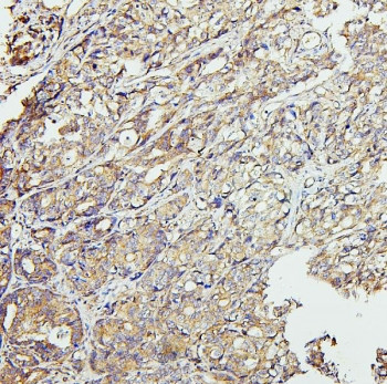
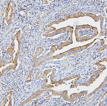
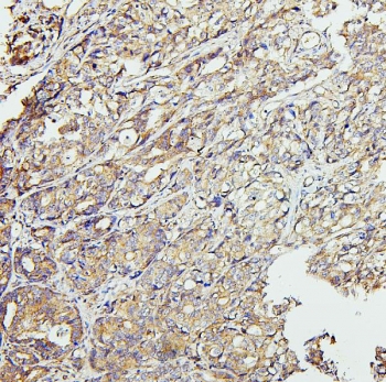
| Application: | WB, IHC (paraffin), FC, Direct ELISA |
| Antibody Type: | Polyclonal |
| Conjugate: | No |
| Host: | Rabbit |
| Species reactivity: | human, mouse, rat |
| Immunogen: | A human recombinant protein (amino acids H77-K353) |
| Format: | Purified |
Database Information
| KEGG ID : | K16835 | Matching products |
| UniProt ID : | P11597 | Matching products |
| Gene ID : | GeneID 1071 | Matching products |
Handling & Safety
| Storage: | +4°C |
| Shipping: | +4°C (International: +4°C) |
Caution
Our products are for laboratory research use only: Not for administration to humans!
Our products are for laboratory research use only: Not for administration to humans!
Information about the product reference will follow.
more
You will get a certificate here
Viewed