Cookie preferences
This website uses cookies, which are necessary for the technical operation of the website and are always set. Other cookies, which increase the comfort when using this website, are used for direct advertising or to facilitate interaction with other websites and social networks, are only set with your consent.
Configuration
Technically required
These cookies are necessary for the basic functions of the shop.
"Allow all cookies" cookie
"Decline all cookies" cookie
CSRF token
Cookie preferences
Currency change
Customer-specific caching
FACT-Finder tracking
Individual prices
Selected shop
Session
Comfort functions
These cookies are used to make the shopping experience even more appealing, for example for the recognition of the visitor.
Note
Show the facebook fanpage in the right blod sidebar
Statistics & Tracking
Affiliate program
Conversion and usertracking via Google Tag Manager
Track device being used
| Item number | Size | Datasheet | Manual | SDS | Delivery time | Quantity | Price |
|---|---|---|---|---|---|---|---|
| A303-493A-T | 10 µl (2 µg) | - |
2 - 8 business days* |
165.00€
|
|||
| A303-493A | 100 µl | - |
2 - 8 business days* |
586.00€
|
If you have any questions, please use our Contact Form.
You can also order by e-mail: info@biomol.com
Larger quantity required? Request bulk
You can also order by e-mail: info@biomol.com
Larger quantity required? Request bulk
Protein function: Protein kinase involved in the regulation of transcription. Member of the... more
Product information "Anti-CDK9"
Protein function: Protein kinase involved in the regulation of transcription. Member of the cyclin-dependent kinase pair (CDK9/cyclin-T) complex, also called positive transcription elongation factor b (P-TEFb), which facilitates the transition from abortive to productive elongation by phosphorylating the CTD (C-terminal domain) of the large subunit of RNA polymerase II (RNAP II) POLR2A, SUPT5H and RDBP. This complex is inactive when in the 7SK snRNP complex form. Phosphorylates EP300, MYOD1, RPB1/POLR2A and AR, and the negative elongation factors DSIF and NELF. Regulates cytokine inducible transcription networks by facilitating promoter recognition of target transcription factors (e.g. TNF-inducible RELA/p65 activation and IL-6-inducible STAT3 signaling). Promotes RNA synthesis in genetic programs for cell growth, differentiation and viral pathogenesis. P-TEFb is also involved in cotranscriptional histone modification, mRNA processing and mRNA export. Modulates a complex network of chromatin modifications including histone H2B monoubiquitination (H2Bub1), H3 lysine 4 trimethylation (H3K4me3) and H3K36me3, integrates phosphorylation during transcription with chromatin modifications to control co-transcriptional histone mRNA processing. The CDK9/cyclin-K complex has also a kinase activity towards CTD of RNAP II and can substitute for CDK9/cyclin-T P-TEFb in vitro. Replication stress response protein, the CDK9/cyclin-K complex is required for genome integrity maintenance, by promoting cell cycle recovery from replication arrest and limiting single- stranded DNA amount in response to replication stress, thus reducing the breakdown of stalled replication forks and avoiding DNA damage. In addition, probable function in DNA repair of isoform 2 via interaction with KU70/XRCC6. Promotes cardiac myocyte enlargement. RPB1/POLR2A phosphorylation on 'Ser-2' in CTD activates transcription. AR phosphorylation modulates AR transcription factor promoter selectivity and cell growth. DSIF and NELF phosphorylation promotes transcription by inhibiting their negative effect. The phosphorylation of MYOD1 enhances its transcriptional activity and thus promotes muscle differentiation. [The UniProt Consortium]
| Keywords: | Anti-C-2K, Anti-CDK9, Anti-CDC2L4, EC=2.7.11.22, EC=2.7.11.23, Anti-Cyclin-dependent kinase 9, Anti-Cell division protein kinase 9, Anti-Serine/threonine-protein kinase PITALRE, Anti-Cell division cycle 2-like protein kinase 4 |
| Supplier: | Bethyl Laboratories |
| Supplier-Nr: | A303-493A |
Properties
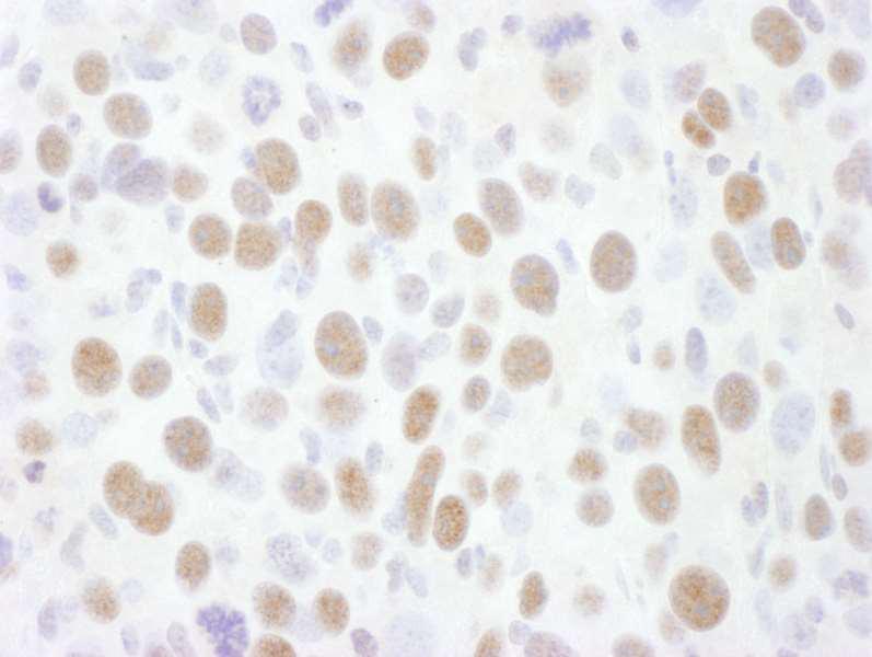
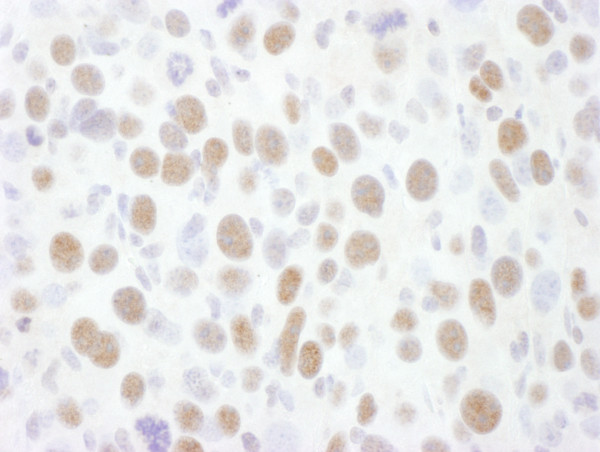
| Application: | WB, IP, IHC |
| Antibody Type: | Polyclonal |
| Conjugate: | No |
| Host: | Rabbit |
| Species reactivity: | human, mouse (Expected: rat, bovine) |
| Immunogen: | synthetic peptide. The epitope recognized by A303-493A-T maps to a region between residue 322 and 372 of human Cyclin-Dependent Kinase 9 using the numbering given in entry NP_001252.1 (GeneID 1025). |
| Format: | Antigen Affinity Purified |
Database Information
| KEGG ID : | K02211 | Matching products |
| UniProt ID : | P50750 | Matching products |
| Gene ID : | GeneID 1025 | Matching products |
Handling & Safety
| Storage: | +4°C |
| Shipping: | +4°C (International: +4°C) |
Caution
Our products are for laboratory research use only: Not for administration to humans!
Our products are for laboratory research use only: Not for administration to humans!
Information about the product reference will follow.
more
You will get a certificate here
Viewed