Cookie preferences
This website uses cookies, which are necessary for the technical operation of the website and are always set. Other cookies, which increase the comfort when using this website, are used for direct advertising or to facilitate interaction with other websites and social networks, are only set with your consent.
Configuration
Technically required
These cookies are necessary for the basic functions of the shop.
"Allow all cookies" cookie
"Decline all cookies" cookie
CSRF token
Cookie preferences
Currency change
Customer-specific caching
FACT-Finder tracking
Individual prices
Selected shop
Session
Comfort functions
These cookies are used to make the shopping experience even more appealing, for example for the recognition of the visitor.
Note
Show the facebook fanpage in the right blod sidebar
Statistics & Tracking
Affiliate program
Conversion and usertracking via Google Tag Manager
Track device being used
| Item number | Size | Datasheet | Manual | SDS | Delivery time | Quantity | Price |
|---|---|---|---|---|---|---|---|
| A302-501A-T | 10 µl (2 µg) | - |
2 - 8 business days* |
165.00€
|
|||
| A302-501A | 100 µl | - |
2 - 8 business days* |
586.00€
|
If you have any questions, please use our Contact Form.
You can also order by e-mail: info@biomol.com
Larger quantity required? Request bulk
You can also order by e-mail: info@biomol.com
Larger quantity required? Request bulk
Protein function: Component of the Mediator complex, a coactivator involved in regulated gene... more
Product information "Anti-CDK8"
Protein function: Component of the Mediator complex, a coactivator involved in regulated gene transcription of nearly all RNA polymerase II-dependent genes. Mediator functions as a bridge to convey information from gene-specific regulatory proteins to the basal RNA polymerase II transcription machinery. Mediator is recruited to promoters by direct interactions with regulatory proteins and serves as a scaffold for the assembly of a functional preinitiation complex with RNA polymerase II and the general transcription factors. Phosphorylates the CTD (C-terminal domain) of the large subunit of RNA polymerase II (RNAp II), which may inhibit the formation of a transcription initiation complex. Phosphorylates CCNH leading to down-regulation of the TFIIH complex and transcriptional repression. Recruited through interaction with MAML1 to hyperphosphorylate the intracellular domain of NOTCH, leading to its degradation. [The UniProt Consortium]
| Keywords: | Anti-CDK8, EC=2.7.11.22, EC=2.7.11.23, Anti-Protein kinase K35, Anti-Cyclin-dependent kinase 8, Anti-Mediator complex subunit CDK8, Anti-Cell division protein kinase 8, Anti-Mediator of RNA polymerase II transcription subunit CDK8 |
| Supplier: | Bethyl Laboratories |
| Supplier-Nr: | A302-501A |
Properties
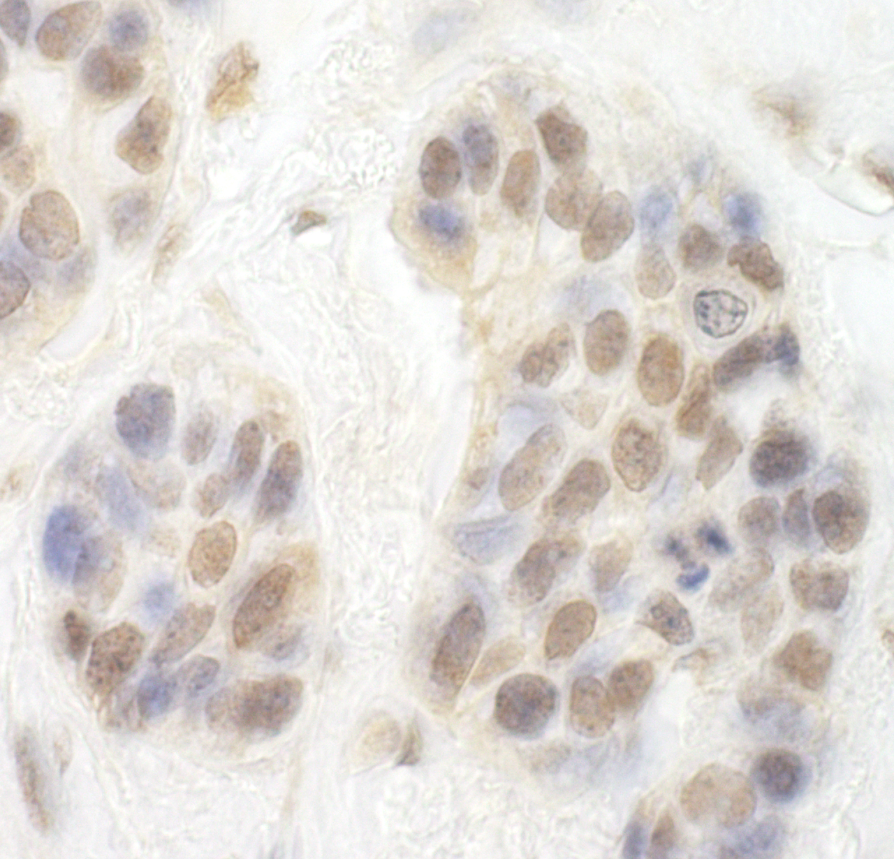
| Application: | WB, IP, IHC |
| Antibody Type: | Polyclonal |
| Conjugate: | No |
| Host: | Rabbit |
| Species reactivity: | human (Expected: mouse) |
| Immunogen: | synthetic peptide. The epitope recognized by A302-501A-T maps to a region between residue 420 and 470 of human cyclin-dependent kinase 8 using the numbering given in entry NP_001251.1 (GeneID 1024). |
| Format: | Antigen Affinity Purified |
Database Information
| KEGG ID : | K02208 | Matching products |
| UniProt ID : | P49336 | Matching products |
| Gene ID : | GeneID 1024 | Matching products |
Handling & Safety
| Storage: | +4°C |
| Shipping: | +4°C (International: +4°C) |
Caution
Our products are for laboratory research use only: Not for administration to humans!
Our products are for laboratory research use only: Not for administration to humans!
Information about the product reference will follow.
more
You will get a certificate here
Viewed