Cookie preferences
This website uses cookies, which are necessary for the technical operation of the website and are always set. Other cookies, which increase the comfort when using this website, are used for direct advertising or to facilitate interaction with other websites and social networks, are only set with your consent.
Configuration
Technically required
These cookies are necessary for the basic functions of the shop.
"Allow all cookies" cookie
"Decline all cookies" cookie
CSRF token
Cookie preferences
Currency change
Customer-specific caching
FACT-Finder tracking
Individual prices
Selected shop
Session
Comfort functions
These cookies are used to make the shopping experience even more appealing, for example for the recognition of the visitor.
Note
Show the facebook fanpage in the right blod sidebar
Statistics & Tracking
Affiliate program
Conversion and usertracking via Google Tag Manager
Track device being used
| Item number | Size | Datasheet | Manual | SDS | Delivery time | Quantity | Price |
|---|---|---|---|---|---|---|---|
| NSJ-R30399 | 100 µg | - | - |
3 - 10 business days* |
790.00€
|
If you have any questions, please use our Contact Form.
You can also order by e-mail: info@biomol.com
Larger quantity required? Request bulk
You can also order by e-mail: info@biomol.com
Larger quantity required? Request bulk
0.5mg/ml if reconstituted with 0.2ml sterile DI water. CD34 is a monomeric cell surface antigen... more
Product information "Anti-CD34"
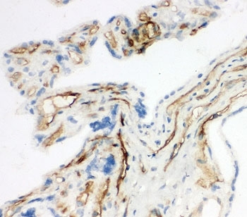
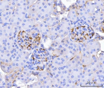
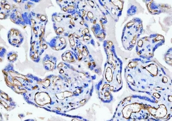
0.5mg/ml if reconstituted with 0.2ml sterile DI water. CD34 is a monomeric cell surface antigen with a molecular mass of approximately 110 KD.CD34 is expressed in humans in hematopoietic stem cells, vascular endothelium, and blasts from 30% of patients with acute myeloid and lymphocytic leukemia. The human CD34 gene spans 26 kb and has 8 exons, a structure quite similar to that of the murine gene. By Southern blot analysis of DNA from a panel of human x mouse somatic cell hybrids using a CD34 cDNA probe demonstrate that the gene for CD34 is located on human chromosome 1 in the 1q12----qter region. CD34 plays an important role in the formation of progenitor cells during both embryonic and adult hematopoiesis. Protein function: Possible adhesion molecule with a role in early hematopoiesis by mediating the attachment of stem cells to the bone marrow extracellular matrix or directly to stromal cells. Could act as a scaffold for the attachment of lineage specific glycans, allowing stem cells to bind to lectins expressed by stromal cells or other marrow components. Presents carbohydrate ligands to selectins. [The UniProt Consortium]
| Keywords: | Anti-CD34, Anti-Hematopoietic progenitor cell antigen CD34, CD34 Antibody |
| Supplier: | NSJ Bioreagents |
| Supplier-Nr: | R30399 |
Properties
| Application: | WB, IHC (paraffin), (IF), FC |
| Antibody Type: | Polyclonal |
| Conjugate: | No |
| Host: | Rabbit |
| Species reactivity: | human, mouse, rat |
| Immunogen: | An amino acid sequence from the C-terminus of human CD34 (QATSRNGHSARQHVVAD) |
| Format: | Purified |
Database Information
| KEGG ID : | K06474 | Matching products |
| UniProt ID : | P28906 | Matching products |
| Gene ID : | GeneID 947 | Matching products |
Handling & Safety
| Storage: | +4°C |
| Shipping: | +4°C (International: +4°C) |
Caution
Our products are for laboratory research use only: Not for administration to humans!
Our products are for laboratory research use only: Not for administration to humans!
Information about the product reference will follow.
more
You will get a certificate here
Viewed