This website uses cookies, which are necessary for the technical operation of the website and are always set. Other cookies, which increase the comfort when using this website, are used for direct advertising or to facilitate interaction with other websites and social networks, are only set with your consent.
Configuration
Technically required
These cookies are necessary for the basic functions of the shop.
"Allow all cookies" cookie
"Decline all cookies" cookie
CSRF token
Cookie preferences
Currency change
Customer-specific caching
FACT-Finder tracking
Individual prices
Selected shop
Session
Comfort functions
These cookies are used to make the shopping experience even more appealing, for example for the recognition of the visitor.
Note
Show the facebook fanpage in the right blod sidebar
Statistics & Tracking
Affiliate program
Conversion and usertracking via Google Tag Manager
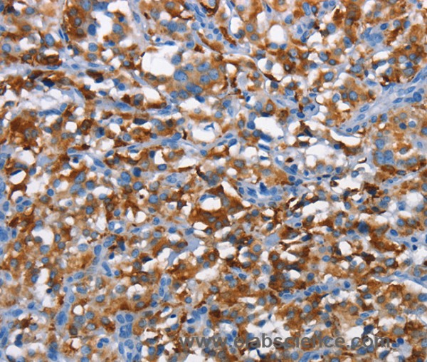
This gene encodes a glycoprotein expressed on the surface of NK cells, platelets, monocytes and a subset of T cells. It is a member of the Ig-superfamily containing 2 Ig-like domains of the V-set. The protein mediates cellular adhesion of platelets and megakaryocytic cells to vascular endothelial cells. The protein also plays a role in megakaryocytic cell maturation. Protein function: Involved in intercellular adhesion, lymphocyte signaling, cytotoxicity and lymphokine secretion mediated by cytotoxic T-lymphocyte (CTL) and NK cell (PubMed:8673704). Cell surface receptor for NECTIN2. Upon ligand binding, stimulates T- cell proliferation and cytokine production, including that of IL2, IL5, IL10, IL13, and IFNG. Competes with PVRIG for NECTIN2-binding (PubMed:26755705). [The UniProt Consortium]
This website uses cookies, which are necessary for the technical operation of the website and are always set. Other cookies, which increase the usability of this website, serve for direct advertising or simplify interaction with other websites and social networks, will only be used with your consent.
More information