Cookie preferences
This website uses cookies, which are necessary for the technical operation of the website and are always set. Other cookies, which increase the comfort when using this website, are used for direct advertising or to facilitate interaction with other websites and social networks, are only set with your consent.
Configuration
Technically required
These cookies are necessary for the basic functions of the shop.
"Allow all cookies" cookie
"Decline all cookies" cookie
CSRF token
Cookie preferences
Currency change
Customer-specific caching
FACT-Finder tracking
Individual prices
Selected shop
Session
Comfort functions
These cookies are used to make the shopping experience even more appealing, for example for the recognition of the visitor.
Note
Show the facebook fanpage in the right blod sidebar
Statistics & Tracking
Affiliate program
Conversion and usertracking via Google Tag Manager
Track device being used
| Item number | Size | Datasheet | Manual | SDS | Delivery time | Quantity | Price |
|---|---|---|---|---|---|---|---|
| NSJ-FY13365 | 100 µg | - | - |
3 - 10 business days* |
790.00€
|
If you have any questions, please use our Contact Form.
You can also order by e-mail: info@biomol.com
Larger quantity required? Request bulk
You can also order by e-mail: info@biomol.com
Larger quantity required? Request bulk
Adding 0.2 ml of distilled water will yield a concentration of 500 ug/ml. AHCY antibody detects... more
Product information "Anti-AHCY / Adenosylhomocysteinase"
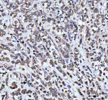
Adding 0.2 ml of distilled water will yield a concentration of 500 ug/ml. AHCY antibody detects Adenosylhomocysteinase, an essential cytoplasmic enzyme encoded by the AHCY gene located on chromosome 20q11.22. AHCY catalyzes the reversible hydrolysis of S-adenosylhomocysteine (SAH) to adenosine and homocysteine, a key step in the methionine cycle that regulates cellular methylation potential. This enzyme is critical for maintaining the balance between methylation reactions and homocysteine metabolism in all mammalian cells. AHCY is ubiquitously expressed, with high levels in liver, kidney, brain, and heart where transmethylation reactions are most active.Structurally, AHCY is a homotetrameric enzyme that binds NAD+ as a cofactor to mediate the reversible breakdown of SAH. It belongs to the adenosylhomocysteinase family of dehydrogenases, characterized by a conserved catalytic lysine and nicotinamide-binding motif. The enzyme undergoes conformational changes during catalysis, coupling the oxidation and hydrolysis of SAH to the regeneration of adenosine and homocysteine. AHCY operates at the intersection of methionine metabolism, DNA methylation, and nucleotide synthesis.Functionally, AHCY plays a central role in controlling cellular methylation capacity by regulating the intracellular SAH concentration, a potent inhibitor of methyltransferases. By hydrolyzing SAH, AHCY maintains the S-adenosylmethionine (SAM)/SAH ratio required for normal methylation of DNA, RNA, proteins, and lipids. In liver, AHCY supports homocysteine recycling and methionine regeneration, while in neurons, it contributes to methylation-dependent neurotransmitter synthesis. The enzyme also interacts with metabolic partners such as MAT1A and CBS, forming a regulatory network that maintains one-carbon metabolism.Mutations or deficiency in AHCY cause adenosylhomocysteinase deficiency, a rare metabolic disorder characterized by elevated SAH and global hypomethylation leading to developmental delay, muscle hypotonia, and hepatic dysfunction. Dysregulation of AHCY expression has also been linked to cardiovascular disease, liver fibrosis, and cancer. Pathway involvement includes methionine metabolism, homocysteine clearance, and methyl donor recycling. During development, AHCY expression ensures proper methylation patterns necessary for organogenesis and epigenetic regulation.The AHCY antibody from NSJ Bioreagents is a valuable reagent for research into methylation biology, amino acid metabolism, and epigenetic regulation.
| Keywords: | Anti-AHCY, Anti-Adenosylhomocysteinase, Anti-S-adenosyl-L-homocysteine hydrolase, AHCY Antibody / Adenosylhomocysteinase |
| Supplier: | NSJ Bioreagents |
| Supplier-Nr: | FY13365 |
Properties
| Application: | WB, IHC, ELISA |
| Antibody Type: | Polyclonal |
| Conjugate: | No |
| Host: | Rabbit |
| Species reactivity: | human, mouse, rat |
| Immunogen: | E.coli-derived human AHCY recombinant protein (Position: W112-Y432) |
| Format: | Purified |
Database Information
| KEGG ID : | K01251 | Matching products |
| UniProt ID : | P23526 | Matching products |
| Gene ID : | GeneID 191 | Matching products |
Handling & Safety
| Storage: | +4°C |
| Shipping: | +4°C (International: +4°C) |
Caution
Our products are for laboratory research use only: Not for administration to humans!
Our products are for laboratory research use only: Not for administration to humans!
Information about the product reference will follow.
more
You will get a certificate here
Viewed