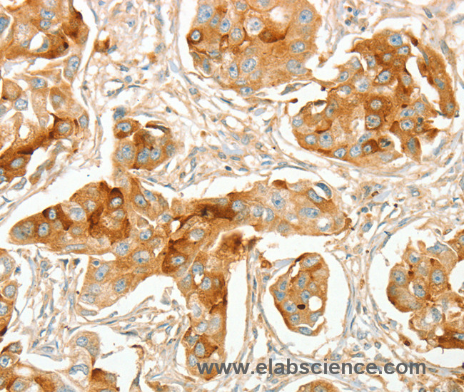
Anti-ACE

Item number Size Datasheet Manual SDS Delivery time Quantity Price
E-AB-16159.20 20 µl -

7 - 16 business days*

89.00€
E-AB-16159.60 60 µl -

7 - 16 business days*

174.00€
E-AB-16159.120 120 µl -

7 - 16 business days*

292.00€
E-AB-16159.200 200 µl -

7 - 16 business days*

485.00€
 
This gene encodes an enzyme involved in catalyzing the conversion of angiotensin I into a... more
Product information "Anti-ACE"
This gene encodes an enzyme involved in catalyzing the conversion of angiotensin I into a physiologically active peptide angiotensin II. Angiotensin II is a potent vasopressor and aldosterone-stimulating peptide that controls blood pressure and fluid-electrolyte balance. This enzyme plays a key role in the renin-angiotensin system. Many studies have associated the presence or absence of a 287 bp Alu repeat element in this gene with the levels of circulating enzyme or cardiovascular pathophysiologies. Multiple alternatively spliced transcript variants encoding different isoforms have been identified, and two most abundant spliced variants encode the somatic form and the testicular form, respectively, that are equally active. Protein function: Converts angiotensin I to angiotensin II by release of the terminal His-Leu, this results in an increase of the vasoconstrictor activity of angiotensin. Also able to inactivate bradykinin, a potent vasodilator. Has also a glycosidase activity which releases GPI-anchored proteins from the membrane by cleaving the mannose linkage in the GPI moiety. [The UniProt Consortium]
Keywords: Anti-DCP, Anti-ACE, EC=3.2.1.-, EC=3.4.15.1, ACE Polyclonal Antibody
Supplier: Elabscience
Supplier-Nr: E-AB-16159

Properties

Application: WB, IHC, ELISA
Antibody Type: Polyclonal
Conjugate: No
Host: Rabbit
Species reactivity: human, mouse, rat
Immunogen: Synthetic peptide of human ACE
Format: Purified

Handling & Safety

Storage: -20°C
Shipping: 4°C (International: -20°C)
Caution
Our products are for laboratory research use only: Not for administration to humans!
You will get a certificate here
or to request a certificate of analysis.
Read, write and discuss reviews... more
Customer review for "Anti-ACE"
Write a review
or to review a product.
Viewed