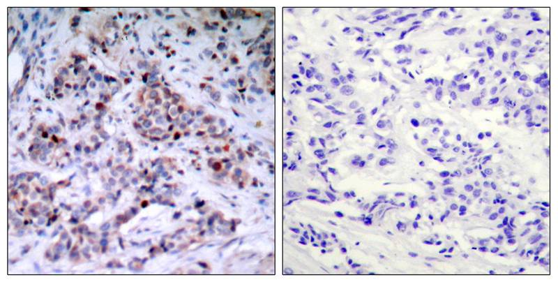
Phospho-NFkB p65 Antibody Duo (Total, pT435)

Item number Size Datasheet Manual SDS Delivery time Quantity Price
ARG30254.1 1 pair - -

6 - 14 business days*

787.00€
 
Product information "Phospho-NFkB p65 Antibody Duo (Total, pT435)"
Supplier: Arigo Biolaboratories
Supplier-Nr: ARG30254

Properties

Antibody Type: Mixed
Conjugate: No

Handling & Safety

Storage: -20°C
Shipping: -20°C (International: °C)
Caution
Our products are for laboratory research use only: Not for administration to humans!
You will get a certificate here
or to request a certificate of analysis.
Read, write and discuss reviews... more
Customer review for "Phospho-NFkB p65 Antibody Duo (Total, pT435)"
Write a review
or to review a product.
Viewed