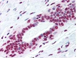
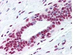
Anti-phospho-Structural Maintenance of Chromosomes 1 (Ser957) (SMC1), clone 5D11G5

Item number Size Datasheet Manual SDS Delivery time Quantity Price
200-301-397 100 µg - -

6 - 10 business days*

752.00€
 
Protein function: Meiosis-specific component of cohesin complex. Required for the maintenance of... more
Product information "Anti-phospho-Structural Maintenance of Chromosomes 1 (Ser957) (SMC1), clone 5D11G5"
Protein function: Meiosis-specific component of cohesin complex. Required for the maintenance of meiotic cohesion, but not, or only to a minor extent, for its establishment. Contributes to axial element (AE) formation and the organization of chromatin loops along the AE. Plays a key role in synapsis, recombination and chromosome movements. The cohesin complex is required for the cohesion of sister chromatids after DNA replication. The cohesin complex apparently forms a large proteinaceous ring within which sister chromatids can be trapped. At anaphase, the complex is cleaved and dissociates from chromatin, allowing sister chromatids to segregate. The meiosis-specific cohesin complex probably replaces mitosis specific cohesin complex when it dissociates from chromatin during prophase I. [The UniProt Consortium]
Keywords: Anti-phospho-SMC1B, Anti-phospho-SMC1L2, Anti-phospho-SMC-1B, Anti-phospho-SMC-1-beta, Anti-phospho-SMC protein 1B, Anti-phospho-Structural maintenance of chromosomes protein 1B
Supplier: Rockland Immunochemicals
Supplier-Nr: 200-301-397

Properties

Application: ELISA, IHC, IFM, WB
Antibody Type: Monoclonal
Clone: 5D11G5
Conjugate: No
Host: Mouse
Species reactivity: human, mouse
Immunogen: synthetic peptide corresponding to amino acids 951-962 of human SMC1.
Format: IgG

Handling & Safety

Storage: -20°C
Shipping: -20°C (International: -20°C)
Caution
Our products are for laboratory research use only: Not for administration to humans!
You will get a certificate here
or to request a certificate of analysis.
Read, write and discuss reviews... more
Customer review for "Anti-phospho-Structural Maintenance of Chromosomes 1 (Ser957) (SMC1), clone 5D11G5"
Write a review
or to review a product.
Viewed