Anti-phospho-Stathmin 1 (Ser16)

Item number Size Datasheet Manual SDS Delivery time Quantity Price
ARG51724.50 50 µl - -

6 - 14 business days*

460.00€
ARG51724.100 100 µl - -

6 - 14 business days*

658.00€
 
Protein function: Involved in the regulation of the microtubule (MT) filament system by... more
Product information "Anti-phospho-Stathmin 1 (Ser16)"
Protein function: Involved in the regulation of the microtubule (MT) filament system by destabilizing microtubules. Prevents assembly and promotes disassembly of microtubules. Phosphorylation at Ser- 16 may be required for axon formation during neurogenesis. Involved in the control of the learned and innate fear. [The UniProt Consortium]
Keywords: Anti-phospho-Op18, Anti-phospho-pp19, Anti-phospho-pp17, Anti-phospho-STMN1, Anti-phospho-Prosolin, Anti-phospho-Stathmin, Anti-phospho-C1orf215, Anti-phospho-Metablastin, Anti-phospho-Protein Pr22, Anti-phospho-Oncoprotein 18
Supplier: Arigo Biolaboratories
Supplier-Nr: ARG51724

Properties

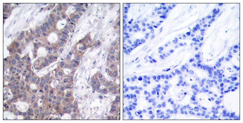
Application: WB, IHC (paraffin)
Antibody Type: Polyclonal
Conjugate: No
Host: Rabbit
Species reactivity: human, mouse, rat
Immunogen: Peptide sequence around phosphorylation site of serine 16 (R-A-S(p)-G-Q) derived from Human Stathmin 1
Format: Affinity Purified

Handling & Safety

Storage: -20°C
Shipping: +4°C (International: +4°C)
Caution
Our products are for laboratory research use only: Not for administration to humans!
You will get a certificate here
or to request a certificate of analysis.
Read, write and discuss reviews... more
Customer review for "Anti-phospho-Stathmin 1 (Ser16)"
Write a review
or to review a product.
Viewed