Anti-phospho-STAT3 (Ser727), clone CAA-19

Item number Size Datasheet Manual SDS Delivery time Quantity Price
NSJ-RQ8665 100 µl - -

3 - 10 business days*

790.00€
 
Antibody in PBS with 0.02% sodium azide, 50% glycerol and 0.4-0.5mg/ml BSA. Stat3 mediates the... more
Product information "Anti-phospho-STAT3 (Ser727), clone CAA-19"
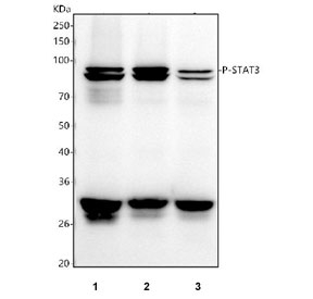
Antibody in PBS with 0.02% sodium azide, 50% glycerol and 0.4-0.5mg/ml BSA. Stat3 mediates the expression of a variety of genes in response to cell stimuli, and thus plays a key role in many cellular processes such as cell growth and apoptosis.
Keywords: Anti-phospho-STAT3, Anti-phospho-Acute-phase response factor, Anti-phospho-Signal transducer and activator of transcription 3, Phospho-STAT3 Antibody (pS727)
Supplier: NSJ Bioreagents
Supplier-Nr: RQ8665

Properties

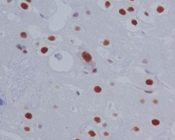
Application: WB, IHC (paraffin), IF
Antibody Type: Monoclonal
Clone: CAA-19
Conjugate: No
Host: Rabbit
Species reactivity: human, rat
Immunogen: A synthetic peptide specific to the region of human STAT3 protein surrounding phosphorylated serine 727
Format: Purified

Handling & Safety

Storage: -20°C
Shipping: -20°C (International: -20°C)
Caution
Our products are for laboratory research use only: Not for administration to humans!
You will get a certificate here
or to request a certificate of analysis.
Read, write and discuss reviews... more
Customer review for "Anti-phospho-STAT3 (Ser727), clone CAA-19"
Write a review
or to review a product.
Viewed