Cookie preferences
This website uses cookies, which are necessary for the technical operation of the website and are always set. Other cookies, which increase the comfort when using this website, are used for direct advertising or to facilitate interaction with other websites and social networks, are only set with your consent.
Configuration
Technically required
These cookies are necessary for the basic functions of the shop.
"Allow all cookies" cookie
"Decline all cookies" cookie
CSRF token
Cookie preferences
Currency change
Customer-specific caching
FACT-Finder tracking
Individual prices
Selected shop
Session
Comfort functions
These cookies are used to make the shopping experience even more appealing, for example for the recognition of the visitor.
Note
Show the facebook fanpage in the right blod sidebar
Statistics & Tracking
Affiliate program
Conversion and usertracking via Google Tag Manager
Track device being used
| Item number | Size | Datasheet | Manual | SDS | Delivery time | Quantity | Price |
|---|---|---|---|---|---|---|---|
| ARG41499.100 | 100 µl | - | - |
6 - 14 business days* |
658.00€
|
If you have any questions, please use our Contact Form.
You can also order by e-mail: info@biomol.com
Larger quantity required? Request bulk
You can also order by e-mail: info@biomol.com
Larger quantity required? Request bulk
Protein function: IFN-induced dsRNA-dependent serine/threonine-protein kinase which plays a key... more
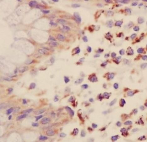
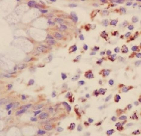
Product information "Anti-phospho-PKR (Thr446)"
Protein function: IFN-induced dsRNA-dependent serine/threonine-protein kinase which plays a key role in the innate immune response to viral infection and is also involved in the regulation of signal transduction, apoptosis, cell proliferation and differentiation. Exerts its antiviral activity on a wide range of DNA and RNA viruses including hepatitis C virus (HCV), hepatitis B virus (HBV), measles virus (MV) and herpes simplex virus 1 (HHV-1). Inhibits viral replication via phosphorylation of the alpha subunit of eukaryotic initiation factor 2 (EIF2S1), this phosphorylation impairs the recycling of EIF2S1 between successive rounds of initiation leading to inhibition of translation which eventually results in shutdown of cellular and viral protein synthesis. Also phosphorylates other substrates including p53/TP53, PPP2R5A, DHX9, ILF3, IRS1 and the HHV-1 viral protein US11. In addition to serine/threonine-protein kinase activity, also has tyrosine-protein kinase activity and phosphorylates CDK1 at 'Tyr-4' upon DNA damage, facilitating its ubiquitination and proteosomal degradation. Either as an adapter protein and/or via its kinase activity, can regulate various signaling pathways (p38 MAP kinase, NF-kappa-B and insulin signaling pathways) and transcription factors (JUN, STAT1, STAT3, IRF1, ATF3) involved in the expression of genes encoding proinflammatory cytokines and IFNs. Activates the NF-kappa-B pathway via interaction with IKBKB and TRAF family of proteins and activates the p38 MAP kinase pathway via interaction with MAP2K6. Can act as both a positive and negative regulator of the insulin signaling pathway (ISP). Negatively regulates ISP by inducing the inhibitory phosphorylation of insulin receptor substrate 1 (IRS1) at 'Ser- 312' and positively regulates ISP via phosphorylation of PPP2R5A which activates FOXO1, which in turn up-regulates the expression of insulin receptor substrate 2 (IRS2). Can regulate NLRP3 inflammasome assembly and the activation of NLRP3, NLRP1, AIM2 and NLRC4 inflammasomes. Can trigger apoptosis via FADD-mediated activation of CASP8. Plays a role in the regulation of the cytoskeleton by binding to gelsolin (GSN), sequestering the protein in an inactive conformation away from actin. [The UniProt Consortium]
| Keywords: | Anti-phospho-PKR, Anti-phospho-EIF2AK2, Anti-phospho-p68 kinase, EC=2.7.11.1, EC=2.7.10.2, Anti-phospho-Protein kinase R, Anti-phospho-eIF-2A protein kinase 2, Anti-phospho-P1/eIF-2A protein kinase, Anti-phospho-Protein kinase RNA-activated |
| Supplier: | Arigo Biolaboratories |
| Supplier-Nr: | ARG41499 |
Properties
| Application: | FC, ICC, IF, IHC (paraffin), IP, WB |
| Antibody Type: | Polyclonal |
| Conjugate: | No |
| Host: | Rabbit |
| Species reactivity: | human |
| Immunogen: | Phosphospecific peptide around Thr446 of Human PKR |
| MW: | 62 kD |
| Format: | Affinity Purified |
Database Information
| KEGG ID : | K16195 | Matching products |
| UniProt ID : | P19525 | Matching products |
| Gene ID : | GeneID 5610 | Matching products |
Handling & Safety
| Storage: | -20°C |
| Shipping: | +4°C (International: °C) |
Caution
Our products are for laboratory research use only: Not for administration to humans!
Our products are for laboratory research use only: Not for administration to humans!
Information about the product reference will follow.
more
You will get a certificate here
Viewed