Anti-phospho-CREB (Ser129)

Item number Size Datasheet Manual SDS Delivery time Quantity Price
ARG51756.50 50 µl - -

6 - 14 business days*

471.00€
ARG51756.100 100 µl - -

6 - 14 business days*

674.00€
 
Protein function: Phosphorylation-dependent transcription factor that stimulates transcription... more
Product information "Anti-phospho-CREB (Ser129)"
Protein function: Phosphorylation-dependent transcription factor that stimulates transcription upon binding to the DNA cAMP response element (CRE), a sequence present in many viral and cellular promoters. Transcription activation is enhanced by the TORC coactivators which act independently of Ser-133 phosphorylation. Involved in different cellular processes including the synchronization of circadian rhythmicity and the differentiation of adipose cells. [The UniProt Consortium]
Keywords: Anti-phospho-CREB1, Anti-phospho-CREB-1, Anti-phospho-cAMP-responsive element-binding protein 1, Anti-phospho-Cyclic AMP-responsive element-binding protein 1
Supplier: Arigo Biolaboratories
Supplier-Nr: ARG51756

Properties

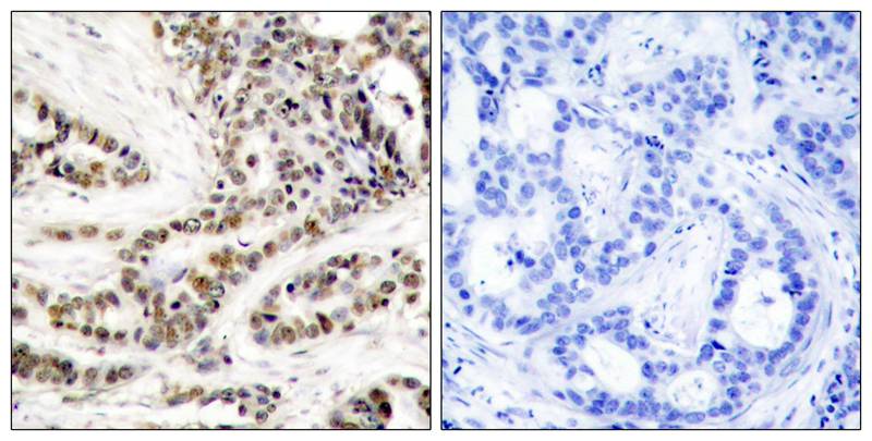
Application: WB, IHC (paraffin)
Antibody Type: Polyclonal
Conjugate: No
Host: Rabbit
Species reactivity: human, mouse, rat
Immunogen: Peptide sequence around phosphorylation site of serine 129 (I-L-S(p)-R-R) derived from Human CREB
Format: Affinity Purified

Handling & Safety

Storage: -20°C
Shipping: +4°C (International: +4°C)
Caution
Our products are for laboratory research use only: Not for administration to humans!
You will get a certificate here
or to request a certificate of analysis.
Read, write and discuss reviews... more
Customer review for "Anti-phospho-CREB (Ser129)"
Write a review
or to review a product.
Viewed