Anti-phospho-c-Jun (Ser243)

Item number Size Datasheet Manual SDS Delivery time Quantity Price
ARG51529.50 50 µl - -

6 - 14 business days*

471.00€
ARG51529.100 100 µl - -

6 - 14 business days*

674.00€
 
Protein function: Transcription factor that recognizes and binds to the enhancer heptamer motif... more
Product information "Anti-phospho-c-Jun (Ser243)"
Protein function: Transcription factor that recognizes and binds to the enhancer heptamer motif 5'-TGA[CG]TCA-3'. Promotes activity of NR5A1 when phosphorylated by HIPK3 leading to increased steroidogenic gene expression upon cAMP signaling pathway stimulation. Involved in activated KRAS-mediated transcriptional activation of USP28 in colorectal cancer (CRC) cells (PubMed:24623306). Binds to the USP28 promoter in colorectal cancer (CRC) cells (PubMed:24623306). [The UniProt Consortium]
Keywords: Anti-phospho-JUN, Anti-phospho-p39, Anti-phospho-AP1, Anti-phospho-Activator protein 1, Anti-phospho-Proto-oncogene c-Jun, Anti-phospho-Transcription factor AP-1, Anti-phospho-V-jun avian sarcoma virus 17 oncogene homolog
Supplier: Arigo Biolaboratories
Supplier-Nr: ARG51529

Properties

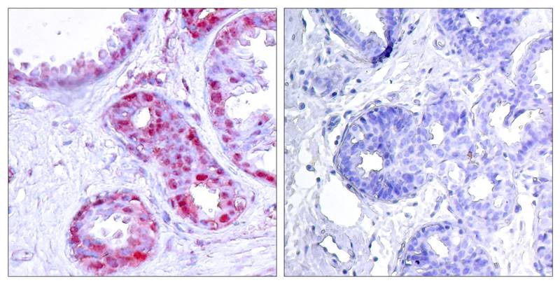
Application: WB, IHC (paraffin)
Antibody Type: Polyclonal
Conjugate: No
Host: Rabbit
Species reactivity: human, mouse, rat
Immunogen: Peptide sequence around phosphorylation site of serine 243 (P-L-S(p)-P-I) derived from Human c-Jun
Format: Affinity Purified

Handling & Safety

Storage: -20°C
Shipping: +4°C (International: +4°C)
Caution
Our products are for laboratory research use only: Not for administration to humans!
You will get a certificate here
or to request a certificate of analysis.
Read, write and discuss reviews... more
Customer review for "Anti-phospho-c-Jun (Ser243)"
Write a review
or to review a product.
Viewed