Cookie preferences
This website uses cookies, which are necessary for the technical operation of the website and are always set. Other cookies, which increase the comfort when using this website, are used for direct advertising or to facilitate interaction with other websites and social networks, are only set with your consent.
Configuration
Technically required
These cookies are necessary for the basic functions of the shop.
"Allow all cookies" cookie
"Decline all cookies" cookie
CSRF token
Cookie preferences
Currency change
Customer-specific caching
FACT-Finder tracking
Individual prices
Selected shop
Session
Comfort functions
These cookies are used to make the shopping experience even more appealing, for example for the recognition of the visitor.
Note
Show the facebook fanpage in the right blod sidebar
Statistics & Tracking
Affiliate program
Conversion and usertracking via Google Tag Manager
Track device being used
If you have any questions, please use our Contact Form.
You can also order by e-mail: info@biomol.com
Larger quantity required? Request bulk
You can also order by e-mail: info@biomol.com
Larger quantity required? Request bulk
This gene encodes a chromatin-associated enzyme, poly(ADP-ribosyl)transferase, which modifies... more
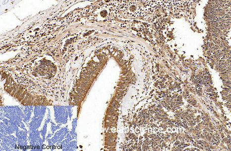
Product information "Anti-Cleaved-PARP-1 (D214)"
This gene encodes a chromatin-associated enzyme, poly(ADP-ribosyl)transferase, which modifies various nuclear proteins by poly(ADP-ribosyl)ation. The modification is dependent on DNA and is involved in the regulation of various important cellular processes such as differentiation, proliferation, and tumor transformation and also in the regulation of the molecular events involved in the recovery of cell from DNA damage. In addition, this enzyme may be the site of mutation in Fanconi anemia, and may participate in the pathophysiology of type I diabetes. Protein function: Involved in the base excision repair (BER) pathway, by catalyzing the poly(ADP-ribosyl)ation of a limited number of acceptor proteins involved in chromatin architecture and in DNA metabolism. This modification follows DNA damages and appears as an obligatory step in a detection/signaling pathway leading to the reparation of DNA strand breaks (PubMed:17177976, PubMed:18172500, PubMed:19344625, PubMed:19661379, PubMed:23230272). Mediates the poly(ADP-ribosyl)ation of APLF and CHFR (PubMed:17396150). Positively regulates the transcription of MTUS1 and negatively regulates the transcription of MTUS2/TIP150. With EEF1A1 and TXK, forms a complex that acts as a T-helper 1 (Th1) cell-specific transcription factor and binds the promoter of IFN-gamma to directly regulate its transcription, and is thus involved importantly in Th1 cytokine production (PubMed:17177976). Required for PARP9 and DTX3L recruitment to DNA damage sites (PubMed:23230272). PARP1-dependent PARP9-DTX3L-mediated ubiquitination promotes the rapid and specific recruitment of 53BP1/TP53BP1, UIMC1/RAP80, and BRCA1 to DNA damage sites (PubMed:23230272). Mediates serine ADP-ribosylation of target proteins following interaction with HPF1, HPF1 conferring serine specificity (PubMed:28190768). Mediates the poly(ADP-ribosyl)ation of histones in a HPF1-dependent manner (PubMed:27067600). Involved in the synthesis of ATP in the nucleus, together with NMNAT1, PARG and NUDT5 (PubMed:27257257). Nuclear ATP generation is required for extensive chromatin remodeling events that are energy- consuming (PubMed:27257257). [The UniProt Consortium]
| Keywords: | Anti-cleaved-PARP1, Anti-cleaved-ADPRT, Anti-cleaved-ARTD1, Anti-cleaved-PARP-1, Anti-cleaved-ADPRT 1, Anti-cleaved-Poly[ADP-ribose] synthase 1, Anti-cleaved-Poly [ADP-ribose] polymerase 1, Anti-cleaved-NAD(+) ADP-ribosyltransferase 1, Cleaved-PARP-1 (D21 |
| Supplier: | Elabscience |
| Supplier-Nr: | E-AB-30080 |
Properties
| Application: | WB, IHC (paraffin), IF, ELISA |
| Antibody Type: | Polyclonal |
| Conjugate: | No |
| Host: | Rabbit |
| Species reactivity: | human, mouse |
| Immunogen: | Synthesized peptide derived from the Internal region of human PARP-1 |
| Format: | Purified |
Database Information
| KEGG ID : | K24070 | Matching products |
| UniProt ID : | P09874 | Matching products |
| Gene ID : | GeneID 142 | Matching products |
Handling & Safety
| Storage: | -20°C |
| Shipping: | 4°C (International: -20°C) |
Caution
Our products are for laboratory research use only: Not for administration to humans!
Our products are for laboratory research use only: Not for administration to humans!
Information about the product reference will follow.
more
You will get a certificate here
Viewed