Cookie preferences
This website uses cookies, which are necessary for the technical operation of the website and are always set. Other cookies, which increase the comfort when using this website, are used for direct advertising or to facilitate interaction with other websites and social networks, are only set with your consent.
Configuration
Technically required
These cookies are necessary for the basic functions of the shop.
"Allow all cookies" cookie
"Decline all cookies" cookie
CSRF token
Cookie preferences
Currency change
Customer-specific caching
FACT-Finder tracking
Individual prices
Selected shop
Session
Comfort functions
These cookies are used to make the shopping experience even more appealing, for example for the recognition of the visitor.
Note
Show the facebook fanpage in the right blod sidebar
Statistics & Tracking
Affiliate program
Conversion and usertracking via Google Tag Manager
Track device being used
| Item number | Size | Datasheet | Manual | SDS | Delivery time | Quantity | Price |
|---|---|---|---|---|---|---|---|
| ARG57552.50 | 50 µg | - | - |
6 - 14 business days* |
559.00€
|
If you have any questions, please use our Contact Form.
You can also order by e-mail: info@biomol.com
Larger quantity required? Request bulk
You can also order by e-mail: info@biomol.com
Larger quantity required? Request bulk
Protein function: TJP1, TJP2, and TJP3 are closely related scaffolding proteins that link tight... more
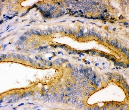
Product information "Anti-ZO-1"
Protein function: TJP1, TJP2, and TJP3 are closely related scaffolding proteins that link tight junction (TJ) transmembrane proteins such as claudins, junctional adhesion molecules, and occludin to the actin cytoskeleton (PubMed:7798316, PubMed:9792688). The tight junction acts to limit movement of substances through the paracellular space and as a boundary between the compositionally distinct apical and basolateral plasma membrane domains of epithelial and endothelial cells. Necessary for lumenogenesis, and particularly efficient epithelial polarization and barrier formation. Plays a role in the regulation of cell migration by targeting CDC42BPB to the leading edge of migrating cells (PubMed:21240187). Plays an important role in podosome formation and associated function, thus regulating cell adhesion and matrix remodeling (PubMed:20930113). With TJP2 and TJP3, participates to the junctional retention and stability of the transcription factor DBPA, but is not involved in its shuttling to the nucleus. [The UniProt Consortium]
| Keywords: | Anti-ZO1, Anti-TJP1, Anti-Tight junction protein 1, Anti-Zona occludens protein 1, Anti-Zonula occludens protein 1, Anti-Tight junction protein ZO-1 |
| Supplier: | Arigo Biolaboratories |
| Supplier-Nr: | ARG57552 |
Properties
| Application: | IHC (paraffin), WB |
| Antibody Type: | Polyclonal |
| Conjugate: | No |
| Host: | Rabbit |
| Species reactivity: | human, mouse, rat |
| Immunogen: | Partial recombinant protein around aa. 1178-1527 of Human ZO-1 |
| MW: | 195 kD |
| Format: | Antigen Affinity Purified |
Database Information
| KEGG ID : | K05701 | Matching products |
| UniProt ID : | Q07157 | Matching products |
| Gene ID : | GeneID 7082 | Matching products |
Handling & Safety
| Storage: | -20°C |
| Shipping: | +4°C (International: °C) |
Caution
Our products are for laboratory research use only: Not for administration to humans!
Our products are for laboratory research use only: Not for administration to humans!
Information about the product reference will follow.
more
You will get a certificate here
Viewed