Cookie preferences
This website uses cookies, which are necessary for the technical operation of the website and are always set. Other cookies, which increase the comfort when using this website, are used for direct advertising or to facilitate interaction with other websites and social networks, are only set with your consent.
Configuration
Technically required
These cookies are necessary for the basic functions of the shop.
"Allow all cookies" cookie
"Decline all cookies" cookie
CSRF token
Cookie preferences
Currency change
Customer-specific caching
FACT-Finder tracking
Individual prices
Selected shop
Session
Comfort functions
These cookies are used to make the shopping experience even more appealing, for example for the recognition of the visitor.
Note
Show the facebook fanpage in the right blod sidebar
Statistics & Tracking
Affiliate program
Conversion and usertracking via Google Tag Manager
Track device being used
| Item number | Size | Datasheet | Manual | SDS | Delivery time | Quantity | Price |
|---|---|---|---|---|---|---|---|
| NSJ-RZ1308 | 100 µg | - | - |
3 - 10 business days* |
948.00€
|
If you have any questions, please use our Contact Form.
You can also order by e-mail: info@biomol.com
Larger quantity required? Request bulk
You can also order by e-mail: info@biomol.com
Larger quantity required? Request bulk
0.5mg/ml if reconstituted with 0.2ml sterile DI water. Zebrafish Sf3b3, also known as splicing... more
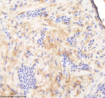
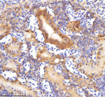
Product information "Anti-Zebrafish Sf3b3 / Splicing factor 3b subunit 3"
0.5mg/ml if reconstituted with 0.2ml sterile DI water. Zebrafish Sf3b3, also known as splicing factor 3B subunit 3, is an essential component of the spliceosome, the molecular machinery responsible for the removal of introns from pre messenger RNA. Sf3b3 is part of the SF3B complex within the U2 small nuclear ribonucleoprotein and plays a crucial role in recognizing and stabilizing the branch point sequence during the splicing process. This activity ensures accurate intron removal and the generation of mature RNA transcripts, which are necessary for proper gene expression.Zebrafish Sf3b3 is an ortholog of the human SF3B3 protein, with strong sequence conservation and similar functional roles. Like its human counterpart, zebrafish Sf3b3 is indispensable for the regulation of alternative splicing, which contributes to transcriptome diversity and precise control of protein synthesis. Disruption of Sf3b3 function can have severe effects on embryonic development and cellular homeostasis due to the widespread impact of splicing errors.Currently, no distinct isoforms of zebrafish Sf3b3 have been described, but its role as part of the SF3B complex is well established and highly conserved across vertebrate species. The zebrafish model provides a powerful system to study the function of Sf3b3 during development and to investigate splicing defects that may be linked to human diseases.Antibodies against zebrafish Sf3b3 protein are valuable for studying spliceosome assembly, RNA processing, and transcriptional regulation. These antibodies are commonly applied in techniques such as western blot, immunohistochemistry, immunofluorescence, and ELISA, enabling detailed investigations of splicing factor expression and localization.
| Keywords: | Anti-sf3b3, Anti-Splicing factor 3B subunit 3, Zebrafish Sf3b3 Antibody / Splicing factor 3b subunit 3 |
| Supplier: | NSJ Bioreagents |
| Supplier-Nr: | RZ1308 |
Properties
| Application: | IHC (paraffin), IF |
| Antibody Type: | Polyclonal |
| Conjugate: | No |
| Host: | Rabbit |
| Species reactivity: | zebrafish |
| Immunogen: | E. coli-derived zebrafish Sf3b3 recombinant protein (amino acids R728-E982) |
| Format: | Purified |
Database Information
| KEGG ID : | K12830 | Matching products |
| UniProt ID : | Q1LVE8 | Matching products |
| Gene ID : | GeneID 406824 | Matching products |
Handling & Safety
| Storage: | +4°C |
| Shipping: | +4°C (International: +4°C) |
Caution
Our products are for laboratory research use only: Not for administration to humans!
Our products are for laboratory research use only: Not for administration to humans!
Information about the product reference will follow.
more
You will get a certificate here
Viewed