Cookie preferences
This website uses cookies, which are necessary for the technical operation of the website and are always set. Other cookies, which increase the comfort when using this website, are used for direct advertising or to facilitate interaction with other websites and social networks, are only set with your consent.
Configuration
Technically required
These cookies are necessary for the basic functions of the shop.
"Allow all cookies" cookie
"Decline all cookies" cookie
CSRF token
Cookie preferences
Currency change
Customer-specific caching
FACT-Finder tracking
Individual prices
Selected shop
Session
Comfort functions
These cookies are used to make the shopping experience even more appealing, for example for the recognition of the visitor.
Note
Show the facebook fanpage in the right blod sidebar
Statistics & Tracking
Affiliate program
Conversion and usertracking via Google Tag Manager
Track device being used
| Item number | Size | Datasheet | Manual | SDS | Delivery time | Quantity | Price |
|---|---|---|---|---|---|---|---|
| NSJ-RZ1181 | 100 µg | - | - |
3 - 10 business days* |
948.00€
|
If you have any questions, please use our Contact Form.
You can also order by e-mail: info@biomol.com
Larger quantity required? Request bulk
You can also order by e-mail: info@biomol.com
Larger quantity required? Request bulk
0.5mg/ml if reconstituted with 0.2ml sterile DI water. Heat shock 70 kDa protein 5 (Hspa5), also... more
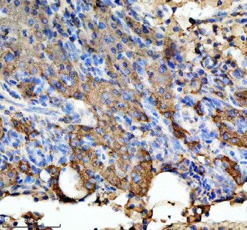
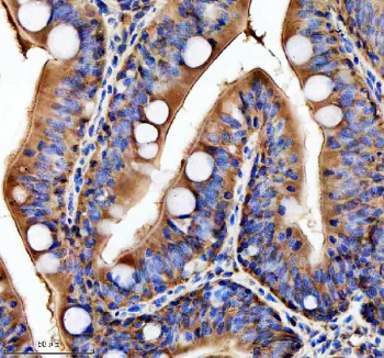
Product information "Anti-Zebrafish Hspa5 / Grp78 / Bip"
0.5mg/ml if reconstituted with 0.2ml sterile DI water. Heat shock 70 kDa protein 5 (Hspa5), also known as GRP78 (Glucose-Regulated Protein 78) or BiP (Binding Immunoglobulin Protein), is a highly conserved member of the HSP70 family of molecular chaperones. In zebrafish (Danio rerio), hspa5 encodes an endoplasmic reticulum (ER)-resident chaperone that plays a central role in protein quality control, particularly during ER stress and the unfolded protein response (UPR).Hspa5 facilitates proper protein folding, prevents aggregation of misfolded proteins, and targets irreversibly misfolded proteins for degradation. It is also a key regulator of ER homeostasis, acting as a sensor for misfolded proteins and an upstream effector in activating UPR pathways, including PERK, ATF6, and IRE1.
| Keywords: | Anti-cb865, Anti-hspa5, Anti-fb60h09, Anti-fi36d04, Anti-zgc:77606, Anti-zgc:55994, Anti-wu:fi36d04, Anti-wu:fb60h09, EC=3.6.4.10, Anti-Binding-immunoglobulin protein, Anti-78 kDa glucose-regulated protein, Anti-Endoplasmic reticulum chaperone BIP, Anti-E |
| Supplier: | NSJ Bioreagents |
| Supplier-Nr: | RZ1181 |
Properties
| Application: | WB, IHC (paraffin) |
| Antibody Type: | Polyclonal |
| Conjugate: | No |
| Host: | Rabbit |
| Species reactivity: | zebrafish |
| Immunogen: | E. coli-derived zebrafish Hspa5 recombinant protein (amino acids D103-L650) |
| Format: | Purified |
Database Information
| KEGG ID : | K09490 | Matching products |
| UniProt ID : | Q7SZD3 | Matching products |
| Gene ID : | GeneID 378848 | Matching products |
Handling & Safety
| Storage: | +4°C |
| Shipping: | +4°C (International: +4°C) |
Caution
Our products are for laboratory research use only: Not for administration to humans!
Our products are for laboratory research use only: Not for administration to humans!
Information about the product reference will follow.
more
You will get a certificate here
Viewed