Anti-Zebrafish E-cadherin / Cdh1 / Cadherin 1

Item number Size Datasheet Manual SDS Delivery time Quantity Price
NSJ-RZ1220 100 µg - -

3 - 10 business days*

948.00€
 
0.5mg/ml if reconstituted with 0.2ml sterile DI water. E cadherin, also known as epithelial... more
Product information "Anti-Zebrafish E-cadherin / Cdh1 / Cadherin 1"
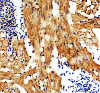
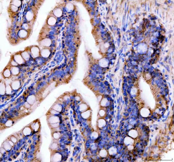
0.5mg/ml if reconstituted with 0.2ml sterile DI water. E cadherin, also known as epithelial cadherin, cadherin 1 and Cdh1, is a calcium dependent cell adhesion protein that plays a key role in maintaining epithelial tissue structure and integrity. In zebrafish, E cadherin is essential for early embryonic development, particularly during processes such as epiboly, gastrulation, and organ formation.E cadherin is a transmembrane glycoprotein that mediates homophilic cell to cell adhesion by forming adherens junctions between neighboring epithelial cells. It is a critical component of the cadherin catenin complex, which connects the actin cytoskeleton to the plasma membrane, thereby regulating tissue architecture and cell polarity.In zebrafish embryos, E cadherin is expressed from the earliest stages of development and is especially important for coordinating cell movements and maintaining cohesion during morphogenesis. Loss or disruption of E cadherin function leads to severe defects in cell adhesion, tissue separation, and embryonic patterning.Because of its conserved role in epithelial biology, zebrafish E cadherin is widely used in research focused on developmental biology, cancer metastasis, tissue regeneration, and epithelial to mesenchymal transition. It also serves as a valuable marker for epithelial cell identity and cell junction integrity in various model systems.
Keywords: Anti-cdh1, Anti-E-cad, Anti-E-cadherin, Anti-Cadherin-1, Zebrafish E-cadherin Antibody / Cdh1 / Cadherin 1
Supplier: NSJ Bioreagents
Supplier-Nr: RZ1220

Properties

Application: WB, IHC (paraffin)
Antibody Type: Polyclonal
Conjugate: No
Host: Rabbit
Species reactivity: zebrafish
Immunogen: E. coli-derived zebrafish E-cadherin recombinant protein (amino acids Y23-D864)
Format: Purified

Handling & Safety

Storage: +4°C
Shipping: +4°C (International: +4°C)
Caution
Our products are for laboratory research use only: Not for administration to humans!
You will get a certificate here
or to request a certificate of analysis.
Read, write and discuss reviews... more
Customer review for "Anti-Zebrafish E-cadherin / Cdh1 / Cadherin 1"
Write a review
or to review a product.
Viewed