Cookie preferences
This website uses cookies, which are necessary for the technical operation of the website and are always set. Other cookies, which increase the comfort when using this website, are used for direct advertising or to facilitate interaction with other websites and social networks, are only set with your consent.
Configuration
Technically required
These cookies are necessary for the basic functions of the shop.
"Allow all cookies" cookie
"Decline all cookies" cookie
CSRF token
Cookie preferences
Currency change
Customer-specific caching
FACT-Finder tracking
Individual prices
Selected shop
Session
Comfort functions
These cookies are used to make the shopping experience even more appealing, for example for the recognition of the visitor.
Note
Show the facebook fanpage in the right blod sidebar
Statistics & Tracking
Affiliate program
Conversion and usertracking via Google Tag Manager
Track device being used
| Item number | Size | Datasheet | Manual | SDS | Delivery time | Quantity | Price |
|---|---|---|---|---|---|---|---|
| NSJ-RZ1211 | 100 µg | - | - |
3 - 10 business days* |
948.00€
|
If you have any questions, please use our Contact Form.
You can also order by e-mail: info@biomol.com
Larger quantity required? Request bulk
You can also order by e-mail: info@biomol.com
Larger quantity required? Request bulk
0.5mg/ml if reconstituted with 0.2ml sterile DI water. Cxcl12, also known as stromal cell-derived... more
Product information "Anti-Zebrafish Cxcl12 / Cxcl12a / Cxcl12b"
0.5mg/ml if reconstituted with 0.2ml sterile DI water. Cxcl12, also known as stromal cell-derived factor 1, is a chemokine that plays a crucial role in the regulation of cell migration, particularly during embryonic development and immune cell trafficking. In zebrafish, Cxcl12 is essential for the proper guidance of various cell types, including primordial germ cells, neural crest cells, and hematopoietic stem cells.Cxcl12 signals through its receptor Cxcr4, and this signaling axis is conserved across vertebrates. In zebrafish embryos, Cxcl12 is expressed in defined tissue regions and acts as a chemoattractant, guiding migrating cells to their correct destinations. It is also involved in vascular development, organ positioning, and fin regeneration.Because of its conserved function and well-characterized roles in developmental and immune processes, zebrafish Cxcl12 is widely used as a model for studying chemokine signaling, stem cell migration, tumor metastasis, and inflammatory responses. It is also a valuable tool in regenerative biology and drug discovery targeting chemokine pathways.
| Keywords: | Anti-sdf1a, Anti-SDF-1, Anti-cxcl12, Anti-sdf-1a, Anti-cxcl12a, Anti-wu:fc16h12, Anti-wu:fj84c02, Anti-wu:fa55e10, Anti-C-X-C motif chemokine 12, Anti-Stromal cell-derived factor 1, Zebrafish Cxcl12 Antibody / Cxcl12a / Cxcl12b |
| Supplier: | NSJ Bioreagents |
| Supplier-Nr: | RZ1211 |
Properties
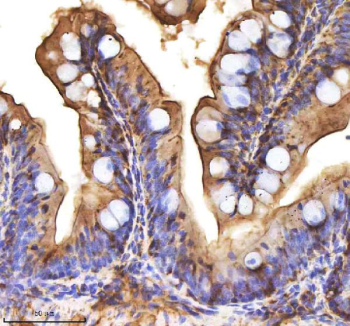
| Application: | IHC (paraffin) |
| Antibody Type: | Polyclonal |
| Conjugate: | No |
| Host: | Rabbit |
| Species reactivity: | zebrafish |
| Immunogen: | E. coli-derived zebrafish Cxcl12 recombinant protein (amino acids K24-V99) |
| Format: | Purified |
Database Information
| KEGG ID : | K10031 | Matching products |
| UniProt ID : | Q8AV10 | Matching products |
| Gene ID : | GeneID 352944 | Matching products |
Handling & Safety
| Storage: | +4°C |
| Shipping: | +4°C (International: +4°C) |
Caution
Our products are for laboratory research use only: Not for administration to humans!
Our products are for laboratory research use only: Not for administration to humans!
Information about the product reference will follow.
more
You will get a certificate here
Viewed