Anti-YY2

Item number Size Datasheet Manual SDS Delivery time Quantity Price
ATA-HPA030335.25 25 µl -

7 - 10 business days*

369.00€
ATA-HPA030335.100 100 µl -

7 - 10 business days*

491.00€
 
Protein function: Functions as a multifunctional transcription factor that may exhibit positive... more
Product information "Anti-YY2"
Protein function: Functions as a multifunctional transcription factor that may exhibit positive and negative control on a large number of genes. May antagonize YY1 and function in development and differentiation. [The UniProt Consortium] Buffer: 40% glycerol and PBS (pH 7.2). 0.02% sodium azide is added as preservative. Highest antigen sequence identity to mouse: 33% and to rat: 34%
Keywords: Anti-YY2, Anti-YY-2, Anti-ZNF631, Anti-Yin and yang 2, Anti-Zinc finger protein 631, Anti-Transcription factor YY2
Supplier: Atlas Antibodies
Supplier-Nr: HPA030335

Properties

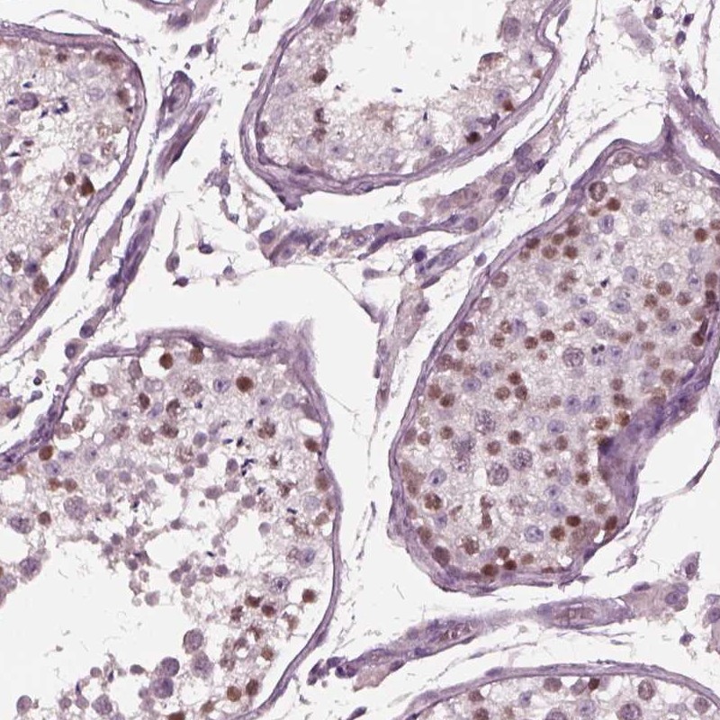
Application: IHC, ChIP, ICC
Antibody Type: Polyclonal
Conjugate: No
Host: Rabbit
Species reactivity: human
Immunogen: Recombinant Protein Epitope Signature Tag (PrEST) antigen sequence: QLGNDLEDQL ALPDSIEDEH FQMTLASLSA SAASTSTSTQ SRSKKPSKKP SGKSATSTEA NPAGSSSSLG TRKWEQKQMQ VKTL (ATA-APrEST90711)

Database Information

KEGG ID : K09201 | Matching products
UniProt ID : O15391 | Matching products
Gene ID : GeneID 404281 | Matching products
Protein Atlas Nr. : ENSG00000230797

Handling & Safety

Storage: -20°C
Shipping: +20°C (International: +20°C)
Caution
Our products are for laboratory research use only: Not for administration to humans!
You will get a certificate here
or to request a certificate of analysis.
Read, write and discuss reviews... more
Customer review for "Anti-YY2"
Write a review
or to review a product.
Viewed