Cookie preferences
This website uses cookies, which are necessary for the technical operation of the website and are always set. Other cookies, which increase the comfort when using this website, are used for direct advertising or to facilitate interaction with other websites and social networks, are only set with your consent.
Configuration
Technically required
These cookies are necessary for the basic functions of the shop.
"Allow all cookies" cookie
"Decline all cookies" cookie
CSRF token
Cookie preferences
Currency change
Customer-specific caching
FACT-Finder tracking
Individual prices
Selected shop
Session
Comfort functions
These cookies are used to make the shopping experience even more appealing, for example for the recognition of the visitor.
Note
Show the facebook fanpage in the right blod sidebar
Statistics & Tracking
Affiliate program
Conversion and usertracking via Google Tag Manager
Track device being used
| Item number | Size | Datasheet | Manual | SDS | Delivery time | Quantity | Price |
|---|---|---|---|---|---|---|---|
| NSJ-R32930 | 100 µg | - | - |
3 - 10 business days* |
790.00€
|
If you have any questions, please use our Contact Form.
You can also order by e-mail: info@biomol.com
Larger quantity required? Request bulk
You can also order by e-mail: info@biomol.com
Larger quantity required? Request bulk
0.5mg/ml if reconstituted with 0.2ml sterile DI water. WAP four-disulfide core domain protein 2,... more
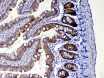
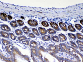
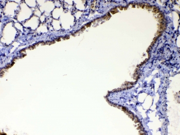
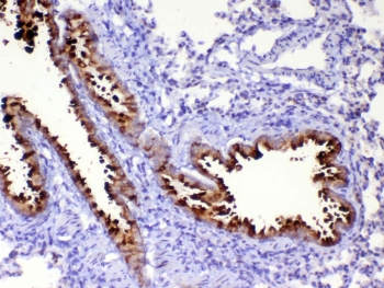
Product information "Anti-WFDC2 / HE4"
0.5mg/ml if reconstituted with 0.2ml sterile DI water. WAP four-disulfide core domain protein 2, also known as Human Epididymis Protein 4 (HE4), is a protein that in humans is encoded by the WFDC2 gene. This gene encodes a protein that is a member of the WFDC domain family. The WFDC domain, or WAP Signature motif, contains eight cysteines forming four disulfide bonds at the core of the protein, and functions as a protease inhibitor in many family members. This gene is expressed in pulmonary epithelial cells, and was also found to be expressed in some ovarian cancers. The encoded protein is a small secretory protein, which may be involved in sperm maturation. Protein function: Broad range protease inhibitor. [The UniProt Consortium]
| Keywords: | Anti-RE4, Anti-Wfdc2, Anti-Epididymal secretory protein 4, Anti-WAP four-disulfide core domain protein 2, WFDC2 Antibody / HE4 |
| Supplier: | NSJ Bioreagents |
| Supplier-Nr: | R32930 |
Properties
| Application: | WB, IHC (paraffin) |
| Antibody Type: | Polyclonal |
| Conjugate: | No |
| Host: | Rabbit |
| Species reactivity: | mouse, rat |
| Immunogen: | A recombinant rat protein corresponding to amino acids E31-F168 |
| Format: | Purified |
Database Information
| KEGG ID : | K23636 | Matching products |
| UniProt ID : | Q8CHN3 | Matching products |
| Gene ID : | GeneID 286888 | Matching products |
Handling & Safety
| Storage: | +4°C |
| Shipping: | +4°C (International: +4°C) |
Caution
Our products are for laboratory research use only: Not for administration to humans!
Our products are for laboratory research use only: Not for administration to humans!
Information about the product reference will follow.
more
You will get a certificate here
Viewed