Cookie preferences
This website uses cookies, which are necessary for the technical operation of the website and are always set. Other cookies, which increase the comfort when using this website, are used for direct advertising or to facilitate interaction with other websites and social networks, are only set with your consent.
Configuration
Technically required
These cookies are necessary for the basic functions of the shop.
"Allow all cookies" cookie
"Decline all cookies" cookie
CSRF token
Cookie preferences
Currency change
Customer-specific caching
FACT-Finder tracking
Individual prices
Selected shop
Session
Comfort functions
These cookies are used to make the shopping experience even more appealing, for example for the recognition of the visitor.
Note
Show the facebook fanpage in the right blod sidebar
Statistics & Tracking
Affiliate program
Conversion and usertracking via Google Tag Manager
Track device being used
| Item number | Size | Datasheet | Manual | SDS | Delivery time | Quantity | Price |
|---|---|---|---|---|---|---|---|
| NSJ-F52535-0.08ML | 80 µl | - | - |
3 - 10 business days* |
361.00€
|
||
| NSJ-F52535-0.4ML | 400 µl | - | - |
3 - 10 business days* |
772.00€
|
If you have any questions, please use our Contact Form.
You can also order by e-mail: info@biomol.com
Larger quantity required? Request bulk
You can also order by e-mail: info@biomol.com
Larger quantity required? Request bulk
In 1X PBS, pH 7.4, with 0.09% sodium azide. Important in the maintenance of hemostasis, von... more
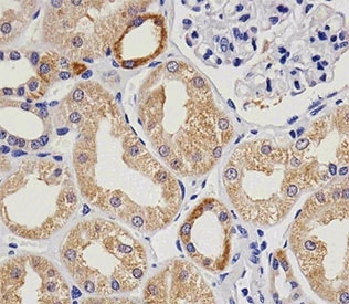
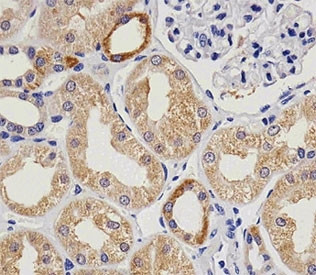
Product information "Anti-vWF, clone 907CT12.1.9"
In 1X PBS, pH 7.4, with 0.09% sodium azide. Important in the maintenance of hemostasis, von Willebrand Factor promotes adhesion of platelets to the sites of vascular injury by forming a molecular bridge between sub-endothelial collagen matrix and platelet-surface receptor complex GPIb-IX-V. Also acts as a chaperone for coagulation factor VIII, delivering it to the site of injury, stabilizing its heterodimeric structure and protecting it from premature clearance from plasma. [UniProt] Protein function: Important in the maintenance of hemostasis, it promotes adhesion of platelets to the sites of vascular injury by forming a molecular bridge between sub-endothelial collagen matrix and platelet-surface receptor complex GPIb-IX-V. Also acts as a chaperone for coagulation factor VIII, delivering it to the site of injury, stabilizing its heterodimeric structure and protecting it from premature clearance from plasma. [The UniProt Consortium]
| Keywords: | Anti-VWF, Anti-F8VWF, vWF Antibody |
| Supplier: | NSJ Bioreagents |
| Supplier-Nr: | F52535 |
Properties
| Application: | WB, IHC, FC, ELISA |
| Antibody Type: | Monoclonal |
| Clone: | 907CT12.1.9 |
| Conjugate: | No |
| Host: | Mouse |
| Species reactivity: | human |
| Immunogen: | This vWF antibody was produced from a mouse immunized with human recombinant protein. |
| Format: | Purified |
Database Information
| KEGG ID : | K03900 | Matching products |
| UniProt ID : | P04275 | Matching products |
| Gene ID : | GeneID 7450 | Matching products |
Handling & Safety
| Storage: | -20°C |
| Shipping: | +4°C (International: +4°C) |
Caution
Our products are for laboratory research use only: Not for administration to humans!
Our products are for laboratory research use only: Not for administration to humans!
Information about the product reference will follow.
more
You will get a certificate here
Viewed