Anti-VIP / PHM-27

Item number Size Datasheet Manual SDS Delivery time Quantity Price
NSJ-R32397 100 µg - -

3 - 10 business days*

790.00€
 
0.5mg/ml if reconstituted with 0.2ml sterile DI water. Vasoactive intestinal peptide, also known... more
Product information "Anti-VIP / PHM-27"
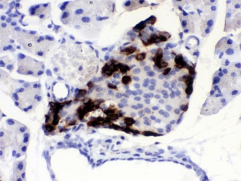
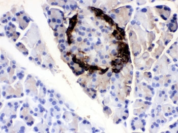
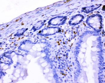
0.5mg/ml if reconstituted with 0.2ml sterile DI water. Vasoactive intestinal peptide, also known as PHM27 or VIP, is a peptide hormone containing 28 amino acid residues. This gene is mapped to 6q25. The protein encoded by this gene belongs to the glucagon family. It stimulates myocardial contractility, causes vasodilation, increases glycogenolysis, lowers arterial blood pressure and relaxes the smooth muscle of trachea, stomach and gall bladder. The protein also acts as an antimicrobial peptide with antibacterial and antifungal activity. Alternative splicing occurs at this locus and two transcript variants encoding distinct isoforms have been identified. Protein function: VIP causes vasodilation, lowers arterial blood pressure, stimulates myocardial contractility, increases glycogenolysis and relaxes the smooth muscle of trachea, stomach and gall bladder. [The UniProt Consortium]
Keywords: Anti-VIP, VIP Antibody / PHM-27
Supplier: NSJ Bioreagents
Supplier-Nr: R32397

Properties

Application: IHC (paraffin), IF
Antibody Type: Polyclonal
Conjugate: No
Host: Rabbit
Species reactivity: human, mouse, rat
Immunogen: amino acids HADGVFTSDFSKLLGQLSAKKYLESLM (PHM-27 sequence) from the human protein
Format: Purified

Handling & Safety

Storage: +4°C
Shipping: +4°C (International: +4°C)
Caution
Our products are for laboratory research use only: Not for administration to humans!
You will get a certificate here
or to request a certificate of analysis.
Read, write and discuss reviews... more
Customer review for "Anti-VIP / PHM-27"
Write a review
or to review a product.
Viewed