Cookie preferences
This website uses cookies, which are necessary for the technical operation of the website and are always set. Other cookies, which increase the comfort when using this website, are used for direct advertising or to facilitate interaction with other websites and social networks, are only set with your consent.
Configuration
Technically required
These cookies are necessary for the basic functions of the shop.
"Allow all cookies" cookie
"Decline all cookies" cookie
CSRF token
Cookie preferences
Currency change
Customer-specific caching
FACT-Finder tracking
Individual prices
Selected shop
Session
Comfort functions
These cookies are used to make the shopping experience even more appealing, for example for the recognition of the visitor.
Note
Show the facebook fanpage in the right blod sidebar
Statistics & Tracking
Affiliate program
Conversion and usertracking via Google Tag Manager
Track device being used
| Item number | Size | Datasheet | Manual | SDS | Delivery time | Quantity | Price |
|---|---|---|---|---|---|---|---|
| NSJ-R30873 | 100 µg | - | - |
3 - 10 business days* |
790.00€
|
If you have any questions, please use our Contact Form.
You can also order by e-mail: info@biomol.com
Larger quantity required? Request bulk
You can also order by e-mail: info@biomol.com
Larger quantity required? Request bulk
0.5mg/ml if reconstituted with 0.2ml sterile DI water. The voltage-dependent anion channel of the... more
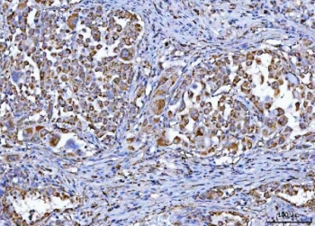
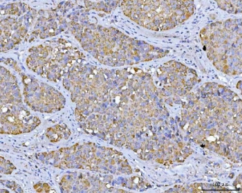
Product information "Anti-VDAC1"
0.5mg/ml if reconstituted with 0.2ml sterile DI water. The voltage-dependent anion channel of the outer mitochondrial membrane is a small, abundant outer membrane pore-forming protein found in the outer membranes of all eukaryotic mitochondria. The protein is though to form the major pathway for movement of adenine nucleotides through the outer membrane and to be the mitochondrial binding site for hexokinase and glycerol kinase. At low transmembrane voltage, VDAC1 is open for anions such as phosphate, chloride, and adenine nucleotides. At higher transmembrane voltage, VDAC1 functions as a selective channel for cations and uncharged molecules. These features make it likely the protein plays a role in mitochondrial energy metabolism. Huizing et al. studied by Northern and Western blot analyses the human tissue distribution of mitochondrial transmembrane metabolite carriers. VDAC1 mRNA has a ubiquitous distribution, with most pronounced expression in heart, liver, and skeletal muscle, whereas the VDAC2 isoform appears to be expressed only in the heart. Protein function: Forms a channel through the mitochondrial outer membrane and also the plasma membrane. The channel at the outer mitochondrial membrane allows diffusion of small hydrophilic molecules, in the plasma membrane it is involved in cell volume regulation and apoptosis. It adopts an open conformation at low or zero membrane potential and a closed conformation at potentials above 30-40 mV. The open state has a weak anion selectivity whereas the closed state is cation-selective (PubMed:11845315, PubMed:18755977, PubMed:20230784, PubMed:8420959). Binds various signaling molecules, including the sphingolipid ceramide, the phospholipid phosphatidylcholine, and the sterol cholesterol (PubMed:31015432). In depolarized mitochondria, acts downstream of PRKN and PINK1 to promote mitophagy or prevent apoptosis, polyubiquitination by PRKN promotes mitophagy, while monoubiquitination by PRKN decreases mitochondrial calcium influx which ultimately inhibits apoptosis (PubMed:32047033). May participate in the formation of the permeability transition pore complex (PTPC) responsible for the release of mitochondrial products that triggers apoptosis (PubMed:15033708, PubMed:25296756). May mediate ATP export from cells (PubMed:30061676). [The UniProt Consortium]
| Keywords: | Anti-VDAC, Anti-VDAC1, Anti-hVDAC1, Anti-VDAC-1, Anti-Porin 31HM, Anti-Porin 31HL, Anti-Plasmalemmal porin, Anti-Outer mitochondrial membrane protein porin 1, Anti-Voltage-dependent anion-selective channel protein 1, VDAC1 Antibody |
| Supplier: | NSJ Bioreagents |
| Supplier-Nr: | R30873 |
Properties
| Application: | WB, IHC (paraffin), IF, FC |
| Antibody Type: | Polyclonal |
| Conjugate: | No |
| Host: | Rabbit |
| Species reactivity: | human, mouse, rat |
| Immunogen: | An amino acid sequence from the middle region of human Voltage-dependent anion channel 1 (RVTQSNFAVGYKTDEF) |
| Format: | Purified |
Database Information
| KEGG ID : | K05862 | Matching products |
| UniProt ID : | P21796 | Matching products |
| Gene ID : | GeneID 7416 | Matching products |
Handling & Safety
| Storage: | +4°C |
| Shipping: | +4°C (International: +4°C) |
Caution
Our products are for laboratory research use only: Not for administration to humans!
Our products are for laboratory research use only: Not for administration to humans!
Information about the product reference will follow.
more
You will get a certificate here
Viewed