Cookie preferences
This website uses cookies, which are necessary for the technical operation of the website and are always set. Other cookies, which increase the comfort when using this website, are used for direct advertising or to facilitate interaction with other websites and social networks, are only set with your consent.
Configuration
Technically required
These cookies are necessary for the basic functions of the shop.
"Allow all cookies" cookie
"Decline all cookies" cookie
CSRF token
Cookie preferences
Currency change
Customer-specific caching
FACT-Finder tracking
Individual prices
Selected shop
Session
Comfort functions
These cookies are used to make the shopping experience even more appealing, for example for the recognition of the visitor.
Note
Show the facebook fanpage in the right blod sidebar
Statistics & Tracking
Affiliate program
Conversion and usertracking via Google Tag Manager
Track device being used
| Item number | Size | Datasheet | Manual | SDS | Delivery time | Quantity | Price |
|---|---|---|---|---|---|---|---|
| NSJ-R31067 | 100 µg | - | - |
3 - 10 business days* |
790.00€
|
If you have any questions, please use our Contact Form.
You can also order by e-mail: info@biomol.com
Larger quantity required? Request bulk
You can also order by e-mail: info@biomol.com
Larger quantity required? Request bulk
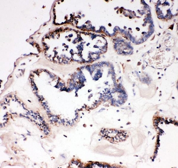
0.5mg/ml if reconstituted with 0.2ml sterile DI water. DEAD/H BOX 4, also known as DDX4 and VASA... more
Product information "Anti-VASA / DDX4"
0.5mg/ml if reconstituted with 0.2ml sterile DI water. DEAD/H BOX 4, also known as DDX4 and VASA contains the 8 conserved domains found in all known DEAD box proteins. The amino acid sequence in this core region shows greater similarity to VASA homologs in other species than to other human DEAD box proteins. By radiation hybrid analysis, Castrillon et al.(2000) mapped the gene to 5q. By fluorescence in situ hybridization, they refined the localization to 5q11.2-q12. This region is syntenic to the distal end of mouse chromosome 13, where the mouse homolog resides(Abe and Noce, 1997). Using a combination of proteomics, cytology, and functional analysis in C. elegans, Chu et al.(2006) reduced 1,099 proteins copurified with spermatogenic chromatin to 132 proteins for functional analysis.
| Keywords: | Anti-DDX4, Anti-Vasa homolog, Anti-DEAD box protein 4, Anti-Probable ATP-dependent RNA helicase DDX4, VASA Antibody / DDX4 |
| Supplier: | NSJ Bioreagents |
| Supplier-Nr: | R31067 |
Properties
| Application: | WB, IHC (paraffin), (IF), ICC, IF, FC |
| Antibody Type: | Polyclonal |
| Conjugate: | No |
| Host: | Rabbit |
| Species reactivity: | human, mouse, rat |
| Immunogen: | Amino acids 253-272 (EDEDSIFAHYQTGINFDKYD) |
| Format: | Purified |
Database Information
| KEGG ID : | K13982 | Matching products |
| UniProt ID : | Q9NQI0 | Matching products |
| Gene ID : | GeneID 54514 | Matching products |
Handling & Safety
| Storage: | +4°C |
| Shipping: | +4°C (International: +4°C) |
Caution
Our products are for laboratory research use only: Not for administration to humans!
Our products are for laboratory research use only: Not for administration to humans!
Information about the product reference will follow.
more
You will get a certificate here
Viewed