Cookie preferences
This website uses cookies, which are necessary for the technical operation of the website and are always set. Other cookies, which increase the comfort when using this website, are used for direct advertising or to facilitate interaction with other websites and social networks, are only set with your consent.
Configuration
Technically required
These cookies are necessary for the basic functions of the shop.
"Allow all cookies" cookie
"Decline all cookies" cookie
CSRF token
Cookie preferences
Currency change
Customer-specific caching
FACT-Finder tracking
Individual prices
Selected shop
Session
Comfort functions
These cookies are used to make the shopping experience even more appealing, for example for the recognition of the visitor.
Note
Show the facebook fanpage in the right blod sidebar
Statistics & Tracking
Affiliate program
Conversion and usertracking via Google Tag Manager
Track device being used
| Item number | Size | Datasheet | Manual | SDS | Delivery time | Quantity | Price |
|---|---|---|---|---|---|---|---|
| NSJ-RQ8934 | 100 µg | - | - |
3 - 10 business days* |
790.00€
|
If you have any questions, please use our Contact Form.
You can also order by e-mail: info@biomol.com
Larger quantity required? Request bulk
You can also order by e-mail: info@biomol.com
Larger quantity required? Request bulk
0.5mg/ml if reconstituted with 0.2ml sterile DI water. USP5 (Ubiquitin carboxyl-terminal... more
Product information "Anti-USP5 / Ubiquitin carboxyl-terminal hydrolase 5"
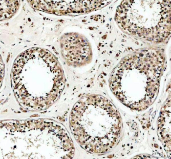
0.5mg/ml if reconstituted with 0.2ml sterile DI water. USP5 (Ubiquitin carboxyl-terminal hydrolase 5) is a member of the deubiquitinating enzyme (DUB) family, which plays a central role in regulating protein stability and turnover by processing ubiquitin chains. USP5 specifically disassembles unanchored polyubiquitin chains into monoubiquitin, maintaining a sufficient pool of free ubiquitin necessary for cellular homeostasis. A USP5 antibody is widely used to study protein degradation, ubiquitin recycling, and regulatory pathways involving the proteasome. USP5, sometimes referred to as Isopeptidase T, functions in close connection with the ubiquitin-proteasome system, a critical mechanism for protein quality control. By hydrolyzing ubiquitin linkages, it prevents the accumulation of free polyubiquitin chains, which could otherwise interfere with proteasomal activity. Using a USP5 antibody enables researchers to evaluate its expression patterns, subcellular localization, and functional involvement in ubiquitin dynamics. Dysregulation of USP5 has been linked to several disease processes. Elevated USP5 expression has been associated with tumor progression in cancers such as glioblastoma, colorectal cancer, and pancreatic cancer, where it contributes to cell proliferation and survival. It has also been implicated in neurological disorders due to its role in protein turnover, highlighting its importance in both health and disease. Investigating these roles with a USP5 antibody provides valuable insights into its potential as a biomarker or therapeutic target. NSJ Bioreagents offers a high-quality USP5 antibody validated for applications including western blot, immunohistochemistry, and immunofluorescence. Selecting a USP5 antibody from NSJ Bioreagents ensures reliable results and reproducibility in studies focused on the ubiquitin-proteasome pathway, cancer biology, and protein regulation.
| Keywords: | Anti-USP5, Anti-Isopeptidase T, Anti-Ubiquitin thioesterase 5, Anti-Deubiquitinating enzyme 5, Anti-Ubiquitin carboxyl-terminal hydrolase 5, Anti-Ubiquitin-specific-processing protease 5, USP5 Antibody / Ubiquitin carboxyl-terminal hydrolase 5 |
| Supplier: | NSJ Bioreagents |
| Supplier-Nr: | RQ8934 |
Properties
| Application: | WB, IHC (paraffin), IF, FC, ELISA |
| Antibody Type: | Polyclonal |
| Conjugate: | No |
| Host: | Rabbit |
| Species reactivity: | human, mouse, rat |
| Immunogen: | Amino acids M1-K800 from the human protein |
| Format: | Purified |
Database Information
| KEGG ID : | K11836 | Matching products |
| UniProt ID : | P45974 | Matching products |
| Gene ID : | GeneID 8078 | Matching products |
Handling & Safety
| Storage: | +4°C |
| Shipping: | +4°C (International: +4°C) |
Caution
Our products are for laboratory research use only: Not for administration to humans!
Our products are for laboratory research use only: Not for administration to humans!
Information about the product reference will follow.
more
You will get a certificate here
Viewed