Cookie preferences
This website uses cookies, which are necessary for the technical operation of the website and are always set. Other cookies, which increase the comfort when using this website, are used for direct advertising or to facilitate interaction with other websites and social networks, are only set with your consent.
Configuration
Technically required
These cookies are necessary for the basic functions of the shop.
"Allow all cookies" cookie
"Decline all cookies" cookie
CSRF token
Cookie preferences
Currency change
Customer-specific caching
FACT-Finder tracking
Individual prices
Selected shop
Session
Comfort functions
These cookies are used to make the shopping experience even more appealing, for example for the recognition of the visitor.
Note
Show the facebook fanpage in the right blod sidebar
Statistics & Tracking
Affiliate program
Conversion and usertracking via Google Tag Manager
Track device being used
| Item number | Size | Datasheet | Manual | SDS | Delivery time | Quantity | Price |
|---|---|---|---|---|---|---|---|
| IHC-00176-T | 10 µl (500 ng) | - |
2 - 8 business days* |
165.00€
|
|||
| IHC-00176 | 100 µl (5 µg) | - |
2 - 8 business days* |
621.00€
|
If you have any questions, please use our Contact Form.
You can also order by e-mail: info@biomol.com
Larger quantity required? Request bulk
You can also order by e-mail: info@biomol.com
Larger quantity required? Request bulk
Protein function: Deubiquitinase involved in DNA damage response checkpoint and MYC... more
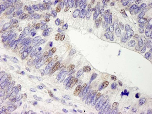
Product information "Anti-USP28 (IHC)"
Protein function: Deubiquitinase involved in DNA damage response checkpoint and MYC proto-oncogene stability. Involved in DNA damage induced apoptosis by specifically deubiquitinating proteins of the DNA damage pathway such as CLSPN. Also involved in G2 DNA damage checkpoint, by deubiquitinating CLSPN, and preventing its degradation by the anaphase promoting complex/cyclosome (APC/C). In contrast, it does not deubiquitinate PLK1. Specifically deubiquitinates MYC in the nucleoplasm, leading to prevent MYC degradation by the proteasome: acts by specifically interacting with isoform 1 of FBXW7 (FBW7alpha) in the nucleoplasm and counteracting ubiquitination of MYC by the SCF(FBW7) complex. In contrast, it does not interact with isoform 4 of FBXW7 (FBW7gamma) in the nucleolus, allowing MYC degradation and explaining the selective MYC degradation in the nucleolus. Deubiquitinates ZNF304, hence preventing ZNF304 degradation by the proteasome and leading to the activated KRAS-mediated promoter hypermethylation and transcriptional silencing of tumor suppressor genes (TSGs) in a subset of colorectal cancers (CRC) cells (PubMed:24623306). [The UniProt Consortium]
| Keywords: | Anti-USP28, Anti-KIAA1515, EC=3.4.19.12, Anti-Ubiquitin thioesterase 28, Anti-Deubiquitinating enzyme 28, Anti-Ubiquitin carboxyl-terminal hydrolase 28, Anti-Ubiquitin-specific-processing protease 28 |
| Supplier: | Bethyl Laboratories |
| Supplier-Nr: | IHC-00176 |
Properties
| Application: | IHC |
| Antibody Type: | Polyclonal |
| Conjugate: | No |
| Host: | Rabbit |
| Species reactivity: | human (Expected: dog, rabbit, orangutan, rhesus monkey, gorilla, white-tufted-ear marmoset, crab-eating macaque, naked mole rat, small-eared galago, northern white-cheeked gibbon) |
| Immunogen: | synthetic peptide. The epitope recognized by IHC-00176 maps to a region between residues 50 and 100 of human Ubiquitin Specific Peptidase 28 using the numbering given in entry NP_065937.1 (GeneID 57646). |
| Format: | Antigen Affinity Purified |
Database Information
| KEGG ID : | K21122 | Matching products |
| UniProt ID : | Q96RU2 | Matching products |
| Gene ID : | GeneID 57646 | Matching products |
Handling & Safety
| Storage: | +4°C |
| Shipping: | +4°C (International: +4°C) |
Caution
Our products are for laboratory research use only: Not for administration to humans!
Our products are for laboratory research use only: Not for administration to humans!
Information about the product reference will follow.
more
You will get a certificate here
Viewed