Cookie preferences
This website uses cookies, which are necessary for the technical operation of the website and are always set. Other cookies, which increase the comfort when using this website, are used for direct advertising or to facilitate interaction with other websites and social networks, are only set with your consent.
Configuration
Technically required
These cookies are necessary for the basic functions of the shop.
"Allow all cookies" cookie
"Decline all cookies" cookie
CSRF token
Cookie preferences
Currency change
Customer-specific caching
FACT-Finder tracking
Individual prices
Selected shop
Session
Comfort functions
These cookies are used to make the shopping experience even more appealing, for example for the recognition of the visitor.
Note
Show the facebook fanpage in the right blod sidebar
Statistics & Tracking
Affiliate program
Conversion and usertracking via Google Tag Manager
Track device being used
| Item number | Size | Datasheet | Manual | SDS | Delivery time | Quantity | Price |
|---|---|---|---|---|---|---|---|
| ATA-HPA050339.25 | 25 µl | - |
7 - 10 business days* |
246.00€
|
|||
| ATA-HPA050339.100 | 100 µl | - |
7 - 10 business days* |
491.00€
|
If you have any questions, please use our Contact Form.
You can also order by e-mail: info@biomol.com
Larger quantity required? Request bulk
You can also order by e-mail: info@biomol.com
Larger quantity required? Request bulk
Protein function: [Cytochrome b-c1 complex subunit Rieske, mitochondrial]: Component of the... more
Product information "Anti-UQCRFS1"
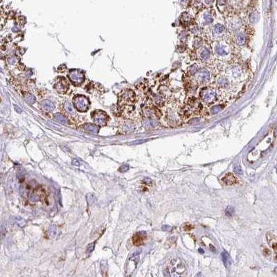
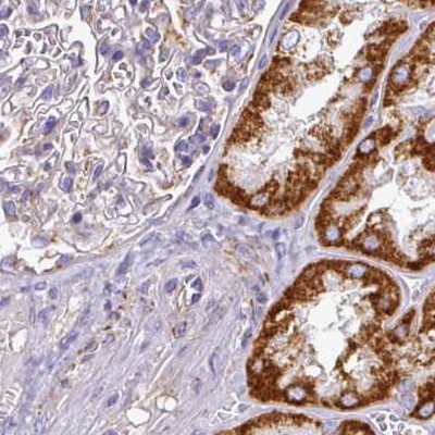
Protein function: [Cytochrome b-c1 complex subunit Rieske, mitochondrial]: Component of the ubiquinol-cytochrome c oxidoreductase, a multisubunit transmembrane complex that is part of the mitochondrial electron transport chain which drives oxidative phosphorylation (PubMed:31883641). The respiratory chain contains 3 multisubunit complexes succinate dehydrogenase (complex II, CII), ubiquinol- cytochrome c oxidoreductase (cytochrome b-c1 complex, complex III, CIII) and cytochrome c oxidase (complex IV, CIV), that cooperate to transfer electrons derived from NADH and succinate to molecular oxygen, creating an electrochemical gradient over the inner membrane that drives transmembrane transport and the ATP synthase. The cytochrome b- c1 complex catalyzes electron transfer from ubiquinol to cytochrome c, linking this redox reaction to translocation of protons across the mitochondrial inner membrane, with protons being carried across the membrane as hydrogens on the quinol. In the process called Q cycle, 2 protons are consumed from the matrix, 4 protons are released into the intermembrane space and 2 electrons are passed to cytochrome c. The Rieske protein is a catalytic core subunit containing a [2Fe-2S] iron- sulfur cluster. It cycles between 2 conformational states during catalysis to transfer electrons from the quinol bound in the Q(0) site in cytochrome b to cytochrome c1. Incorporation of UQCRFS1 is the penultimate step in complex III assembly (PubMed:28673544). [The UniProt Consortium] Buffer: 40% glycerol and PBS (pH 7.2). 0.02% sodium azide is added as preservative. Highest antigen sequence identity to mouse: 91% and to rat: 91%
| Keywords: | EC=7.1.1.8 |
| Supplier: | Atlas Antibodies |
| Supplier-Nr: | HPA050339 |
Properties
| Application: | WB, IHC |
| Antibody Type: | Polyclonal |
| Conjugate: | No |
| Host: | Rabbit |
| Species reactivity: | human |
| Immunogen: | Recombinant Protein Epitope Signature Tag (PrEST) antigen sequence: VTQFVSSMSA SADVLALAKI EIKLSDIPEG KNMAFKWRGK PLFVRHRTQK EIEQEAAVEL SQLRDPQHDL (ATA-APrEST87554) |
Database Information
| KEGG ID : | K00411 | Matching products |
| UniProt ID : | P47985 | Matching products |
| Gene ID : | GeneID 7386 | Matching products |
| Protein Atlas Nr. : | ENSG00000169021 |
Handling & Safety
| Storage: | -20°C |
| Shipping: | +20°C (International: +20°C) |
Caution
Our products are for laboratory research use only: Not for administration to humans!
Our products are for laboratory research use only: Not for administration to humans!
Information about the product reference will follow.
more
You will get a certificate here
Viewed