Cookie preferences
This website uses cookies, which are necessary for the technical operation of the website and are always set. Other cookies, which increase the comfort when using this website, are used for direct advertising or to facilitate interaction with other websites and social networks, are only set with your consent.
Configuration
Technically required
These cookies are necessary for the basic functions of the shop.
"Allow all cookies" cookie
"Decline all cookies" cookie
CSRF token
Cookie preferences
Currency change
Customer-specific caching
FACT-Finder tracking
Individual prices
Selected shop
Session
Comfort functions
These cookies are used to make the shopping experience even more appealing, for example for the recognition of the visitor.
Note
Show the facebook fanpage in the right blod sidebar
Statistics & Tracking
Affiliate program
Conversion and usertracking via Google Tag Manager
Track device being used
| Item number | Size | Datasheet | Manual | SDS | Delivery time | Quantity | Price |
|---|---|---|---|---|---|---|---|
| ATA-HPA001800.25 | 25 µl | - |
7 - 10 business days* |
246.00€
|
|||
| ATA-HPA001800.100 | 100 µl | - |
7 - 10 business days* |
491.00€
|
If you have any questions, please use our Contact Form.
You can also order by e-mail: info@biomol.com
Larger quantity required? Request bulk
You can also order by e-mail: info@biomol.com
Larger quantity required? Request bulk
Protein function: Involved in nonsense-mediated decay (NMD) of mRNAs containing premature stop... more
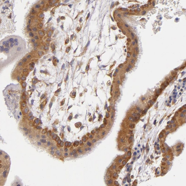
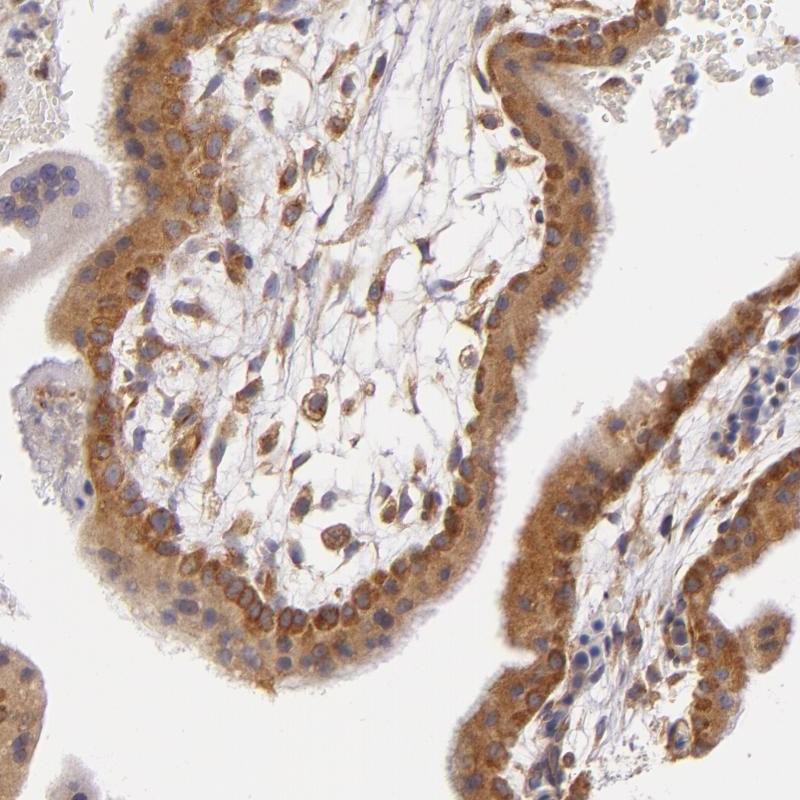
Product information "Anti-UPF3B"
Protein function: Involved in nonsense-mediated decay (NMD) of mRNAs containing premature stop codons by associating with the nuclear exon junction complex (EJC) and serving as link between the EJC core and NMD machinery. Recruits UPF2 at the cytoplasmic side of the nuclear envelope and the subsequent formation of an UPF1-UPF2-UPF3 surveillance complex (including UPF1 bound to release factors at the stalled ribosome) is believed to activate NMD. In cooperation with UPF2 stimulates both ATPase and RNA helicase activities of UPF1. Binds spliced mRNA upstream of exon-exon junctions. In vitro, stimulates translation, the function is independent of association with UPF2 and components of the EJC core. [The UniProt Consortium] Buffer: 40% glycerol and PBS (pH 7.2). 0.02% sodium azide is added as preservative. Highest antigen sequence identity to mouse: 80% and to rat: 80%
| Keywords: | Anti-UPF3B, Anti-RENT3B, Anti-hUpf3B, Anti-hUpf3p-X, Anti-Nonsense mRNA reducing factor 3B, Anti-Regulator of nonsense transcripts 3B, Anti-Up-frameshift suppressor 3 homolog B, Anti-Up-frameshift suppressor 3 homolog on chromosome X |
| Supplier: | Atlas Antibodies |
| Supplier-Nr: | HPA001800 |
Properties
| Application: | IHC, WB |
| Antibody Type: | Polyclonal |
| Conjugate: | No |
| Host: | Rabbit |
| Species reactivity: | human, mouse, rat |
| Immunogen: | Recombinant Protein Epitope Signature Tag (PrEST) antigen sequence: AKKLDKENLS DERASGQSCT LPKRSDSELK DEKPKRPEDE SGRDYRERER EYERDQERIL RERERLKRQE EERRRQKERY EKEKTFKRKE EEMKKEKDTL RDKGKKAEST ESIGSSEKTE KKEEVVKRDR IRNKDR (ATA-APrEST74305) |
Database Information
| KEGG ID : | K14328 | Matching products |
| UniProt ID : | Q9BZI7 | Matching products |
| Gene ID : | GeneID 65109 | Matching products |
| Protein Atlas Nr. : | ENSG00000125351 |
Handling & Safety
| Storage: | -20°C |
| Shipping: | +20°C (International: +20°C) |
Caution
Our products are for laboratory research use only: Not for administration to humans!
Our products are for laboratory research use only: Not for administration to humans!
Information about the product reference will follow.
more
You will get a certificate here
Viewed