Cookie preferences
This website uses cookies, which are necessary for the technical operation of the website and are always set. Other cookies, which increase the comfort when using this website, are used for direct advertising or to facilitate interaction with other websites and social networks, are only set with your consent.
Configuration
Technically required
These cookies are necessary for the basic functions of the shop.
"Allow all cookies" cookie
"Decline all cookies" cookie
CSRF token
Cookie preferences
Currency change
Customer-specific caching
FACT-Finder tracking
Individual prices
Selected shop
Session
Comfort functions
These cookies are used to make the shopping experience even more appealing, for example for the recognition of the visitor.
Note
Show the facebook fanpage in the right blod sidebar
Statistics & Tracking
Affiliate program
Conversion and usertracking via Google Tag Manager
Track device being used
| Item number | Size | Datasheet | Manual | SDS | Delivery time | Quantity | Price |
|---|---|---|---|---|---|---|---|
| NSJ-RQ8947 | 100 µg | - | - |
3 - 10 business days* |
790.00€
|
If you have any questions, please use our Contact Form.
You can also order by e-mail: info@biomol.com
Larger quantity required? Request bulk
You can also order by e-mail: info@biomol.com
Larger quantity required? Request bulk
Antibody in PBS with 0.02% sodium azide, 50% glycerol and 0.4-0.5mg/ml BSA. UPF1 antibody is a... more
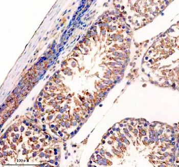
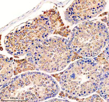
Product information "Anti-UPF1 / Up-frameshift suppressor 1 / RENT1, clone 19U80"
Antibody in PBS with 0.02% sodium azide, 50% glycerol and 0.4-0.5mg/ml BSA. UPF1 antibody is a central reagent for research on RNA surveillance, gene regulation, and cellular quality control. The encoded protein, up frameshift suppressor 1 (UPF1), is an RNA helicase and ATPase that plays an essential role in nonsense mediated mRNA decay (NMD). This pathway detects and degrades mRNAs containing premature stop codons, preventing the accumulation of truncated proteins that could be harmful to cells. Through this activity, UPF1 safeguards transcriptome integrity and helps maintain proper gene expression.UPF1 associates with the exon junction complex and interacts with other NMD factors, including UPF2 and UPF3, to form surveillance complexes on target transcripts. Its helicase activity enables it to remodel RNA protein complexes, while its phosphorylation state determines whether bound transcripts are degraded or stabilized. Beyond NMD, UPF1 has also been implicated in telomere maintenance, cell cycle regulation, and DNA replication stress responses, underscoring its multifunctional nature.Research has linked UPF1 dysregulation to human disease. Mutations or altered expression of UPF1 can disrupt RNA surveillance, contributing to neurodevelopmental disorders and cancer. For example, reduced NMD activity has been associated with enhanced tumor progression due to the stabilization of aberrant mRNAs. Conversely, hyperactive NMD can impair expression of regulatory transcripts, leading to developmental abnormalities. These findings highlight UPF1 as a key factor in both normal physiology and disease pathology.At the molecular level, UPF1 contains an RNA helicase domain with ATP binding motifs and regulatory regions that mediate interactions with NMD cofactors. Phosphorylation of UPF1 by SMG1 kinase is a crucial step in triggering mRNA decay. Structural and biochemical studies have shown that UPF1 undergoes major conformational changes upon RNA binding and phosphorylation, enabling it to act as a dynamic regulator of RNA fate.The UPF1 antibody is widely used in western blotting, immunohistochemistry, immunofluorescence, and flow cytometry to detect protein expression, localization, and phosphorylation status. These applications support research into RNA decay, transcriptional fidelity, and cancer biology. For investigators studying RNA metabolism, gene expression control, or surveillance pathways, the UPF1 antibody is a reliable and specific detection tool. NSJ Bioreagents provides validated antibodies that ensure reproducibility and accuracy in advanced molecular studies.
| Keywords: | Anti-UPF1, Anti-ATP-dependent helicase RENT1, Anti-Nonsense mRNA reducing factor 1, Anti-Up-frameshift suppressor 1 homolog, Anti-Regulator of nonsense transcripts 1, UPF1 Antibody / Up-frameshift suppressor 1 / RENT1 |
| Supplier: | NSJ Bioreagents |
| Supplier-Nr: | RQ8947 |
Properties
| Application: | WB, IHC (paraffin) |
| Antibody Type: | Monoclonal |
| Clone: | 19U80 |
| Conjugate: | No |
| Host: | Mouse |
| Species reactivity: | human, mouse, rat |
| Immunogen: | A peptide specific to Up-frameshift suppressor 1 protein |
| Format: | Purified |
Database Information
| KEGG ID : | K14326 | Matching products |
| UniProt ID : | Q92900 | Matching products |
| Gene ID : | GeneID 5976 | Matching products |
Handling & Safety
| Storage: | +4°C |
| Shipping: | +4°C (International: +4°C) |
Caution
Our products are for laboratory research use only: Not for administration to humans!
Our products are for laboratory research use only: Not for administration to humans!
Information about the product reference will follow.
more
You will get a certificate here
Viewed