Anti-UBE2I / UBC9

Item number Size Datasheet Manual SDS Delivery time Quantity Price
ARG41066.100 100 µl - -

6 - 14 business days*

658.00€
 
Protein function: Accepts the ubiquitin-like proteins SUMO1, SUMO2, SUMO3, SUMO4 and... more
Product information "Anti-UBE2I / UBC9"
Protein function: Accepts the ubiquitin-like proteins SUMO1, SUMO2, SUMO3, SUMO4 and SUMO1P1/SUMO5 from the UBLE1A-UBLE1B E1 complex and catalyzes their covalent attachment to other proteins with the help of an E3 ligase such as RANBP2, CBX4 and ZNF451. Can catalyze the formation of poly-SUMO chains. Necessary for sumoylation of FOXL2 and KAT5. Essential for nuclear architecture and chromosome segregation. Sumoylates p53/TP53 at 'Lys-386'. Mediates sumoylation of ERCC6 which is essential for its transcription- coupled nucleotide excision repair activity (PubMed:26620705). [The UniProt Consortium]
Keywords: Anti-p18, Anti-UBC9, Anti-UBE2I, Anti-SUMO-protein ligase, Anti-Ubiquitin-protein ligase I, Anti-Ubiquitin carrier protein 9, Anti-Ubiquitin carrier protein I, Anti-SUMO-conjugating enzyme UBC9, Anti-Ubiquitin-conjugating enzyme E2 I
Supplier: Arigo Biolaboratories
Supplier-Nr: ARG41066

Properties

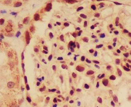
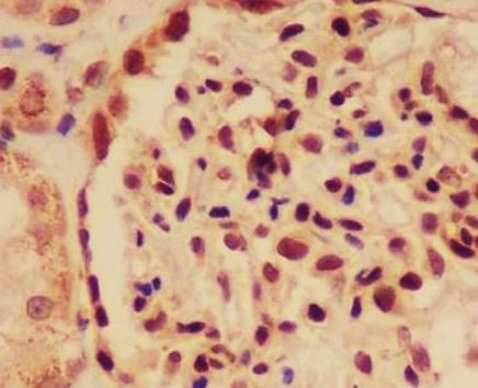
Application: FC, ICC, IF, IHC (paraffin), IP, WB
Antibody Type: Polyclonal
Conjugate: No
Host: Rabbit
Species reactivity: human, mouse, rat
Immunogen: Synthetic peptide derived from Human UBE2I / UBC9
MW: 18 kD
Format: Affinity Purified

Handling & Safety

Storage: -20°C
Shipping: +4°C (International: °C)
Caution
Our products are for laboratory research use only: Not for administration to humans!
You will get a certificate here
or to request a certificate of analysis.
Read, write and discuss reviews... more
Customer review for "Anti-UBE2I / UBC9"
Write a review
or to review a product.
Viewed