This website uses cookies, which are necessary for the technical operation of the website and are always set. Other cookies, which increase the comfort when using this website, are used for direct advertising or to facilitate interaction with other websites and social networks, are only set with your consent.
Configuration
Technically required
These cookies are necessary for the basic functions of the shop.
"Allow all cookies" cookie
"Decline all cookies" cookie
CSRF token
Cookie preferences
Currency change
Customer-specific caching
FACT-Finder tracking
Individual prices
Selected shop
Session
Comfort functions
These cookies are used to make the shopping experience even more appealing, for example for the recognition of the visitor.
Note
Show the facebook fanpage in the right blod sidebar
Statistics & Tracking
Affiliate program
Conversion and usertracking via Google Tag Manager
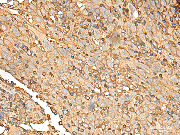
The modification of proteins with ubiquitin is an important cellular mechanism for targeting abnormal or short-lived proteins for degradation. Ubiquitination involves at least three classes of enzymes: ubiquitin-activating enzymes, ubiquitin-conjugating enzymes, and ubiquitin-protein ligases. This gene encodes a member of the E2 ubiquitin-conjugating enzyme family. This enzyme is required for post-replicative DNA damage repair, and may play a role in transcriptional regulation. Mutations in this gene are associated with mental retardation. Alternative splicing results in multiple transcript variants. Protein function: Accepts ubiquitin from the E1 complex and catalyzes its covalent attachment to other proteins. In association with the E3 enzyme BRE1 (RNF20 and/or RNF40), it plays a role in transcription regulation by catalyzing the monoubiquitination of histone H2B at 'Lys- 120' to form H2BK120ub1. H2BK120ub1 gives a specific tag for epigenetic transcriptional activation, elongation by RNA polymerase II, telomeric silencing, and is also a prerequisite for H3K4me and H3K79me formation. In vitro catalyzes 'Lys-11', as well as 'Lys-48'-linked polyubiquitination. Required for postreplication repair of UV-damaged DNA. [The UniProt Consortium]
Keywords:
Anti-HR6A, Anti-RAD6A, Anti-hHR6A, Anti-UBE2A, Anti-RAD6 homolog A, Anti-Ubiquitin-protein ligase A, Anti-Ubiquitin carrier protein A, Anti-E2 ubiquitin-conjugating enzyme A, Anti-Ubiquitin-conjugating enzyme E2 A, UBE2A Polyclonal Antibody
This website uses cookies, which are necessary for the technical operation of the website and are always set. Other cookies, which increase the usability of this website, serve for direct advertising or simplify interaction with other websites and social networks, will only be used with your consent.
More information