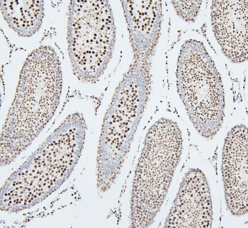
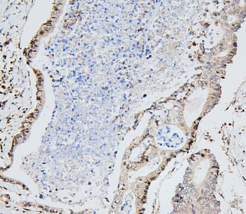
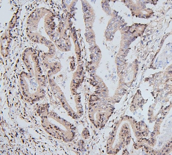
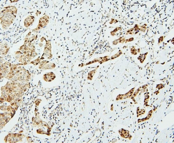
Anti-UBC9 / UBE2I

Item number Size Datasheet Manual SDS Delivery time Quantity Price
NSJ-RQ5606 100 µg - -

3 - 10 business days*

790.00€
 
0.5mg/ml if reconstituted with 0.2ml sterile DI water. SUMO-conjugating enzyme UBC9 (UBE2I), also... more
Product information "Anti-UBC9 / UBE2I"
0.5mg/ml if reconstituted with 0.2ml sterile DI water. SUMO-conjugating enzyme UBC9 (UBE2I), also called UBC9, is a protein that in humans is encoded by the UBE2I gene. This gene encodes a member of the E2 ubiquitin-conjugating enzyme family. It is mapped to 16p13.3. UBC9 could fully complement the mutant phenotype of a yeast ubc9 mutant strain. This gene may play a similar role via interaction with WT1, which is able to impose a block to cell cycle progression in eukaryotic cells. What's more, it could support the growth of yeast ubc9 temperature-sensitive mutants at nonpermissive temperatures, indicating that the gene is a functional homolog of yeast ubc9. UBC9 is specifically associated with FHIT, such as FHIT may be involved in cell cycle control through its interaction with UBC9. Protein function: Accepts the ubiquitin-like proteins SUMO1, SUMO2, SUMO3, SUMO4 and SUMO1P1/SUMO5 from the UBLE1A-UBLE1B E1 complex and catalyzes their covalent attachment to other proteins with the help of an E3 ligase such as RANBP2, CBX4 and ZNF451. Can catalyze the formation of poly-SUMO chains. Necessary for sumoylation of FOXL2 and KAT5. Essential for nuclear architecture and chromosome segregation. Sumoylates p53/TP53 at 'Lys-386'. Mediates sumoylation of ERCC6 which is essential for its transcription-coupled nucleotide excision repair activity (PubMed:26620705). [The UniProt Consortium]
Keywords: Anti-p18, Anti-UBC9, Anti-UBE2I, Anti-SUMO-protein ligase, Anti-Ubiquitin-protein ligase I, Anti-Ubiquitin carrier protein I, Anti-Ubiquitin carrier protein 9, Anti-SUMO-conjugating enzyme UBC9, Anti-Ubiquitin-conjugating enzyme E2 I, UBC9 Antibody / UBE2
Supplier: NSJ Bioreagents
Supplier-Nr: RQ5606

Properties

Application: WB, IHC (paraffin), FC, IF, Direct ELISA
Antibody Type: Polyclonal
Conjugate: No
Host: Rabbit
Species reactivity: human, mouse, rat
Immunogen: A human recombinant protein (amino acids K65-K146 )
Format: Purified

Handling & Safety

Storage: +4°C
Shipping: +4°C (International: +4°C)
Caution
Our products are for laboratory research use only: Not for administration to humans!
You will get a certificate here
or to request a certificate of analysis.
Read, write and discuss reviews... more
Customer review for "Anti-UBC9 / UBE2I"
Write a review
or to review a product.
Viewed